Promotional price valid on web orders only. Your contract pricing may differ. Interested in signing up for a dedicated account number?
Learn More
Learn More
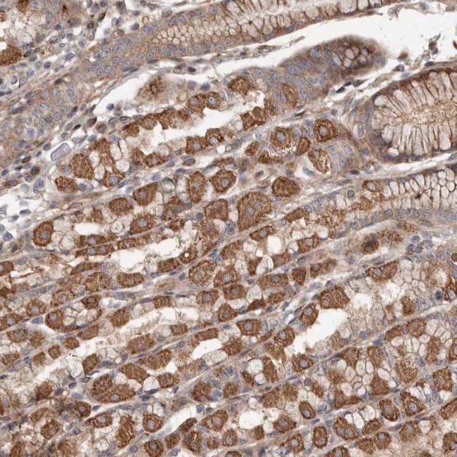
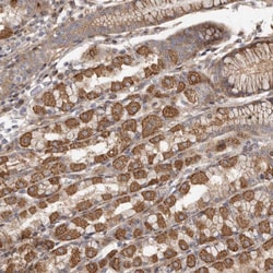
Invitrogen™ FAM221B Polyclonal Antibody

Rabbit Polyclonal Antibody
Supplier: Invitrogen™ PA554665
Description
Immunogen sequence: LTLPPQSRDY VCLSSSDTLK EDLSSESSSN EVPWTRRSTH LSESESLPEH CLSGPSSQVQ VDTTEKQEEE AGEVEKGVDA SDSTAHTAQP G Highest antigen sequence identity to the following orthologs: Mouse - 30%, Rat - 30%.
FAM221B is a protein coding gene.
Specifications
FAM221B | |
Polyclonal | |
Unconjugated | |
FAM221B | |
C9orf128; FAM221B; family with sequence similarity 221 member B; family with sequence similarity 221, member B; protein FAM221B; uncharacterized protein C9orf128 | |
Rabbit | |
Antigen Affinity Chromatography | |
RUO | |
392307 | |
Store at 4°C short term. For long term storage, store at -20°C, avoiding freeze/thaw cycles. | |
Liquid |
Immunohistochemistry (Paraffin) | |
0.4 mg/mL | |
PBS with 40% glycerol and 0.02% sodium azide; pH 7.2 | |
A6H8Z2 | |
FAM221B | |
Recombinant protein corresponding to Human FAM221B. Recombinant protein control fragment (Product #RP-93112). | |
100 μL | |
Primary | |
Human | |
Antibody | |
IgG |
Safety and Handling
WARNING: Cancer - www.P65Warnings.ca.gov
Product Content Correction
Your input is important to us. Please complete this form to provide feedback related to the content on this product.
Product Title
Spot an opportunity for improvement?Share a Content Correction