Promotional price valid on web orders only. Your contract pricing may differ. Interested in signing up for a dedicated account number?
Learn More
Learn More
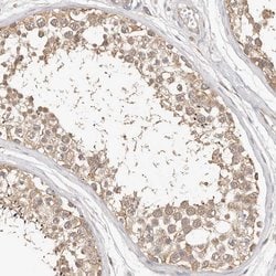
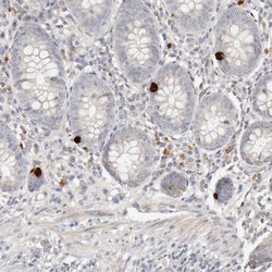
Invitrogen™ FAM54A Polyclonal Antibody

Rabbit Polyclonal Antibody
Supplier: Invitrogen™ PA556258
Description
Immunogen sequence: PLSPAVRQKE TVKNDLPVNE AAIRKIAALE NELTFLRSQI AAIVEMQELK NSTNSSSFGL SDE Highest antigen sequence identity to the following orthologs: Mouse - 67%, Rat - 59%.
FAM54A belongs to the MTFR1/FAM54 family. The function of the FAM54A protein is not known.
Specifications
FAM54A | |
Polyclonal | |
Unconjugated | |
MTFR2 | |
DUF729 domain containing 1; DUF729 domain-containing protein 1; DUFD1; EGK_15321; FAM54A; family with sequence similarity 54, member A; LOC100911069; Mitochondrial fission regulator 2; Mtfr2; protein FAM54A; protein FAM54A-like | |
Rabbit | |
Antigen affinity chromatography | |
RUO | |
113115 | |
Store at 4°C short term. For long term storage, store at -20°C, avoiding freeze/thaw cycles. | |
Liquid |
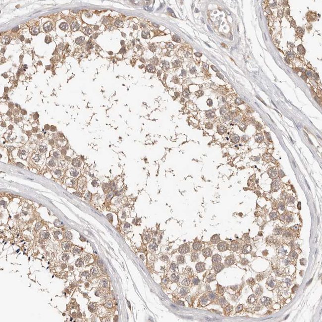
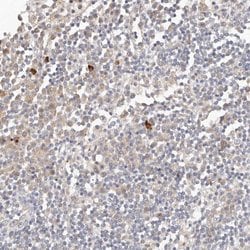
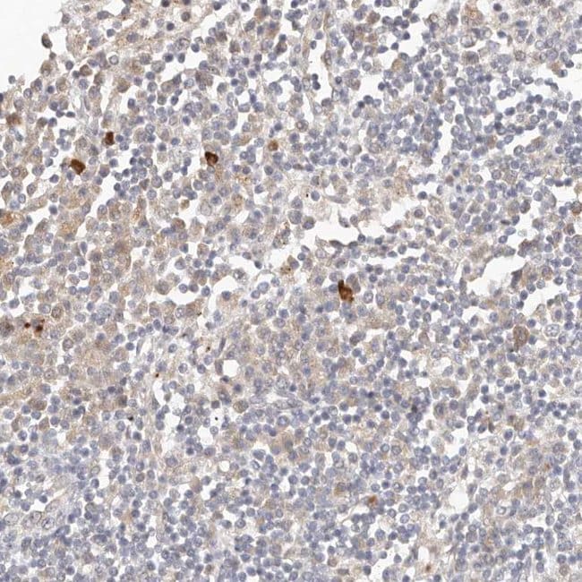
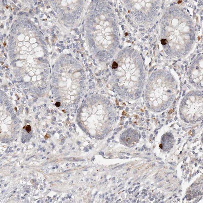
Immunohistochemistry (Paraffin), Western Blot | |
0.2 mg/mL | |
PBS with 40% glycerol and 0.02% sodium azide; pH 7.2 | |
Q6P444 | |
MTFR2 | |
Recombinant protein corresponding to Human FAM54A. Recombinant protein control fragment (Product #RP-94895). | |
100 μL | |
Primary | |
Human | |
Antibody | |
IgG |
Product Content Correction
Your input is important to us. Please complete this form to provide feedback related to the content on this product.
Product Title
Spot an opportunity for improvement?Share a Content Correction