Learn More
Description
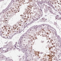
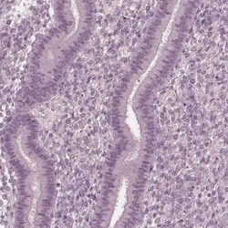
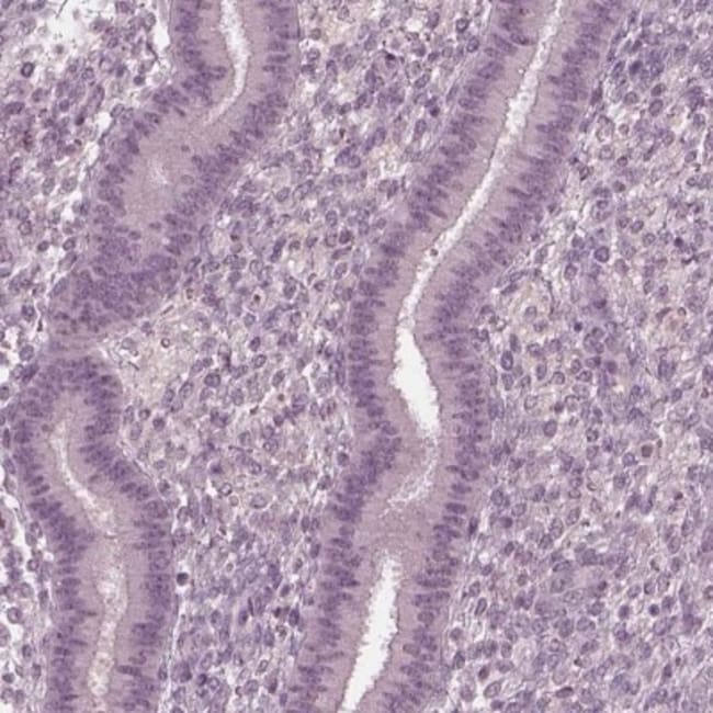
Specifications
Specifications
| Antigen | FAM71A |
| Applications | Immunohistochemistry, Immunohistochemistry (Paraffin) |
| Classification | Polyclonal |
| Conjugate | Unconjugated |
| Dilution | Immunohistochemistry 1:500 - 1:1000, Immunohistochemistry-Paraffin 1:500 - 1:1000 |
| Formulation | PBS (pH 7.2) and 40% Glycerol with 0.02% Sodium Azide |
| Gene Alias | family with sequence similarity 71, member A, FLJ32796, hypothetical protein LOC149647, RP11-338C15.4 |
| Gene Symbols | FAM71A |
| Host Species | Rabbit |
| Immunogen | This antibody was developed against Recombinant Protein corresponding to amino acids:SMSLSREGSVSLAIAGVVLTSRTAAEADMDAAAGPPVSTRQSKSSLSGQHGRERTQASAEGCKEGRERREKDRALGRSSHRRRTGESRHK |
| Show More |
For Research Use Only
By clicking Submit, you acknowledge that you may be contacted by Fisher Scientific in regards to the feedback you have provided in this form. We will not share your information for any other purposes. All contact information provided shall also be maintained in accordance with our Privacy Policy.
