Promotional price valid on web orders only. Your contract pricing may differ. Interested in signing up for a dedicated account number?
Learn More
Learn More
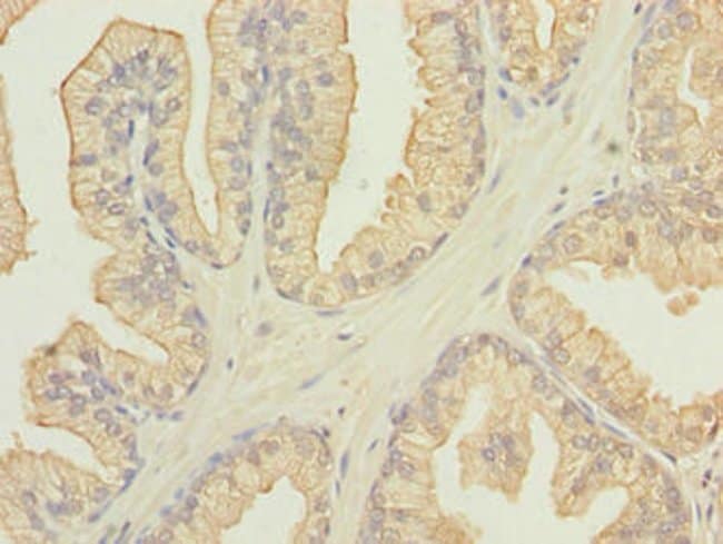
Invitrogen™ FAM78A Polyclonal Antibody

Rabbit Polyclonal Antibody
Supplier: Invitrogen™ PA5112974
Description
FAM78A Polyclonal Antibody for Western Blot, IHC (P), ELISA
FAM78A is a protein coding gene.
Specifications
| FAM78A | |
| Polyclonal | |
| Unconjugated | |
| FAM78A | |
| A130092J06Rik; C9orf59; chromosome 9 open reading frame 59; FAM78A; family with sequence similarity 78 member A; family with sequence similarity 78, member A; protein FAM78A; RGD1566351 | |
| Rabbit | |
| Antigen Affinity Chromatography | |
| RUO | |
| 286336 | |
| -20°C or -80°C if preferred | |
| Liquid |
| ELISA, Immunohistochemistry (Paraffin), Western Blot | |
| 0.1 mg/mL | |
| PBS with 50% glycerol and 0.03% ProClin 300; pH 7.4 | |
| Q5JUQ0 | |
| FAM78A | |
| Recombinant Human Protein FAM78A protein (21-283AA). | |
| 100 μg | |
| Primary | |
| Human | |
| Antibody | |
| IgG |
Safety and Handling
WARNING: Cancer - www.P65Warnings.ca.gov
Product Content Correction
Your input is important to us. Please complete this form to provide feedback related to the content on this product.
Product Title
Spot an opportunity for improvement?Share a Content Correction