Promotional price valid on web orders only. Your contract pricing may differ. Interested in signing up for a dedicated account number?
Learn More
Learn More
FAM84B Monoclonal Antibody (OTI2E7), TrueMAB™, OriGene

Mouse Monoclonal Antibody
Supplier: OriGene TA501917S


Description
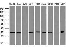
FAM84B Monoclonal antibody specifically detects FAM84B in Human samples. It is validated for Flow Cytometry, Western BlotSpecifications
FAM84B | |
Monoclonal | |
0.42 mg/mL | |
PBS with 1% BSA, 50% glycerol and 0.02% sodium azide | |
Q96KN1 | |
Mouse | |
Affinity chromatography | |
RUO | |
157638 | |
-20° C, Avoid Freeze/Thaw Cycles | |
IgG1 |
Flow Cytometry, Western Blot | |
OTI2E7 | |
Unconjugated | |
FAM84B | |
BCMP101; BF642811; breast cancer membrane protein 101; breast cancer membrane-associated protein 101; D330050I23Rik; FAM84B; family with sequence similarity 84 member B; family with sequence similarity 84, member B; LRAT domain-containing 2; LRATD2; neurological/sensory 2; NSE2; Protein FAM84B; Protein LRATD2; Protein NSE2; RGD1562236 | |
Full length human recombinant protein of human FAM84B produced in HEK293T cell. | |
30 μL | |
Primary | |
Human | |
Liquid |
Product Content Correction
The Fisher Scientific Encompass Program offers items which are not part of our distribution portfolio. These products typically do not have pictures or detailed descriptions. However, we are committed to improving your shopping experience. Please use the form below to provide feedback related to the content on this product.
Product Title
Spot an opportunity for improvement?Share a Content Correction