Promotional price valid on web orders only. Your contract pricing may differ. Interested in signing up for a dedicated account number?
Learn More
Learn More
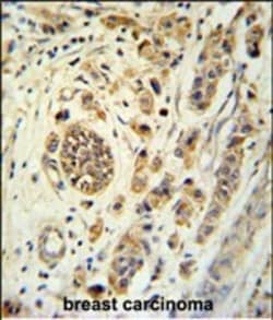
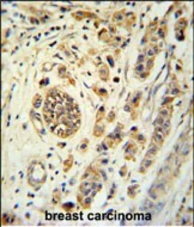
Invitrogen™ FBXL15 Polyclonal Antibody

Rabbit Polyclonal Antibody
Supplier: Invitrogen™ PA525145
Description
This antibody is predicted to react with bovine, mouse and rat based on sequence homology.
FBXL15 is probably recognizes and binds to some phosphorylated proteins and promotes their ubiquitination and degradation.
Specifications
| FBXL15 | |
| Polyclonal | |
| Unconjugated | |
| FBXL15 | |
| 0710008C12Rik; Fbl15; F-box and leucine rich repeat protein 15; F-box and leucine-rich repeat protein 15; F-box only protein 37; F-box/LRR-repeat protein 15; FBXL15; Fbxo37; JET; pleckstrin and Sec7 domain protein; PSD | |
| Rabbit | |
| Antigen affinity chromatography, Protein A | |
| RUO | |
| 68431, 79176 | |
| Store at 4°C short term. For long term storage, store at -20°C, avoiding freeze/thaw cycles. | |
| Liquid |
| Immunohistochemistry (Paraffin), Western Blot | |
| 0.5 mg/mL | |
| PBS with 0.09% sodium azide; pH 7.4 | |
| Q91W61, Q9H469 | |
| FBXL15 | |
| KLH conjugated synthetic peptide between 252-280 amino acids from the C-terminal region of human FBXL15. | |
| 400 μL | |
| Primary | |
| Human, Mouse | |
| Antibody | |
| IgG |
Safety and Handling
WARNING: Cancer - www.P65Warnings.ca.gov
Product Content Correction
Your input is important to us. Please complete this form to provide feedback related to the content on this product.
Product Title
Spot an opportunity for improvement?Share a Content Correction