Promotional price valid on web orders only. Your contract pricing may differ. Interested in signing up for a dedicated account number?
Learn More
Learn More
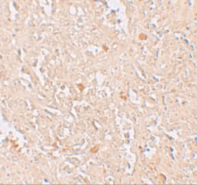
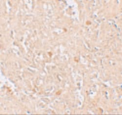
Invitrogen™ FBXL16 Polyclonal Antibody

Rabbit Polyclonal Antibody
Supplier: Invitrogen™ PA521094
Description
A suggested positive control is human spleen tissue lysate. PA5-21094 can be used with blocking peptide PEP-1208.
FBXL16 (F-box and leucine-rich repeat protein 16), a member of the F-box protein family, is a probable substrate-recognition component of the SCF (SKP1-CUL1-F-box protein)-type E3 ubiquitin ligase complex. It is characterized by an approximately 40-amino acid F-box motif. F-box proteins interact with SKP1 through the F-box, and they interact with ubiquitination targets through other protein interaction domains. FBXL16 is a novel E2F1-regulated gene in crucial cell cycle regulation pathways.
Specifications
| FBXL16 | |
| Polyclonal | |
| Unconjugated | |
| FBXL16 | |
| BC042620; C16orf22; c380A1.1; c380A1.1 (novel protein); FBL16; F-box and leucine rich repeat protein 16; F-box and leucine-rich repeat protein 16; F-box/LRR-repeat protein 16; Fbxl16; Scirr1; spinal cord injury and regeneration related 1; spinal cord injury and regeneration-related protein 1 | |
| Rabbit | |
| Antigen affinity chromatography | |
| RUO | |
| 146330, 214931, 494223 | |
| 4°C | |
| Liquid |
| Immunohistochemistry, Western Blot | |
| 1 mg/mL | |
| PBS with 0.02% sodium azide | |
| A2RT62, Q5MJ12, Q8N461 | |
| FBXL16 | |
| An 18 amino acid peptide near the carboxy terminus of human FBXL16. | |
| 100 μg | |
| Primary | |
| Human, Mouse, Rat | |
| Antibody | |
| IgG |
Safety and Handling
WARNING: Cancer - www.P65Warnings.ca.gov
Product Content Correction
Your input is important to us. Please complete this form to provide feedback related to the content on this product.
Product Title
Spot an opportunity for improvement?Share a Content Correction