Promotional price valid on web orders only. Your contract pricing may differ. Interested in signing up for a dedicated account number?
Learn More
Learn More
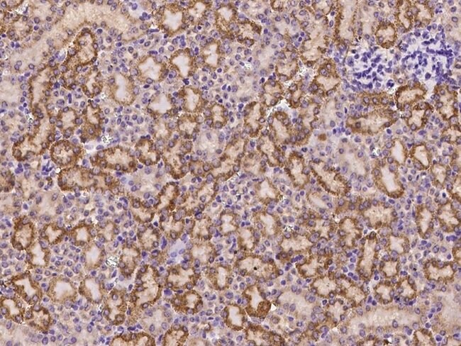
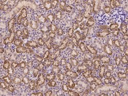
Invitrogen™ FCAMR Polyclonal Antibody

Rabbit Polyclonal Antibody
Supplier: Invitrogen™ PA5112125
Description
FCAMR Polyclonal Antibody for Western Blot, IHC (P)
Functions as a receptor for the Fc fragment of IgA and IgM. Binds IgA and IgM with high affinity and mediates their endocytosis. May function in the immune response to microbes mediated by IgA and IgM. [UniProt].
Specifications
| FCAMR | |
| Polyclonal | |
| Unconjugated | |
| FCAMR | |
| CD351; fc alpha/mu receptor; Fc fragment of IgA and IgM receptor; Fc IgA/IgM receptor; Fc receptor, IgA, IgM, high affinity; Fca/m receptor; FCA/MR; Fcamr; FKSG87; high affinity immunoglobulin alpha and immunoglobulin mu Fc receptor; immunity related factor; mFcamR; receptor for Fc fragment of IgA and IgM | |
| Rabbit | |
| Antigen Affinity Chromatography, Protein A | |
| RUO | |
| 64435 | |
| Store at 4°C short term. For long term storage, store at -20°C, avoiding freeze/thaw cycles. | |
| Liquid |
| Immunohistochemistry (Paraffin), Western Blot | |
| 1 mg/mL | |
| PBS with no preservative | |
| Q2TB54 | |
| FCAMR | |
| A synthetic peptide corresponding to the N-terminus of the Mouse FCAMR/CD351. | |
| 100 μL | |
| Primary | |
| Mouse | |
| Antibody | |
| IgG |
Product Content Correction
Your input is important to us. Please complete this form to provide feedback related to the content on this product.
Product Title
Spot an opportunity for improvement?Share a Content Correction