Promotional price valid on web orders only. Your contract pricing may differ. Interested in signing up for a dedicated account number?
Learn More
Learn More
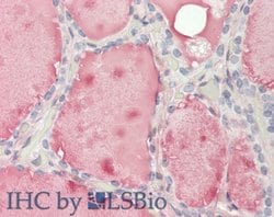
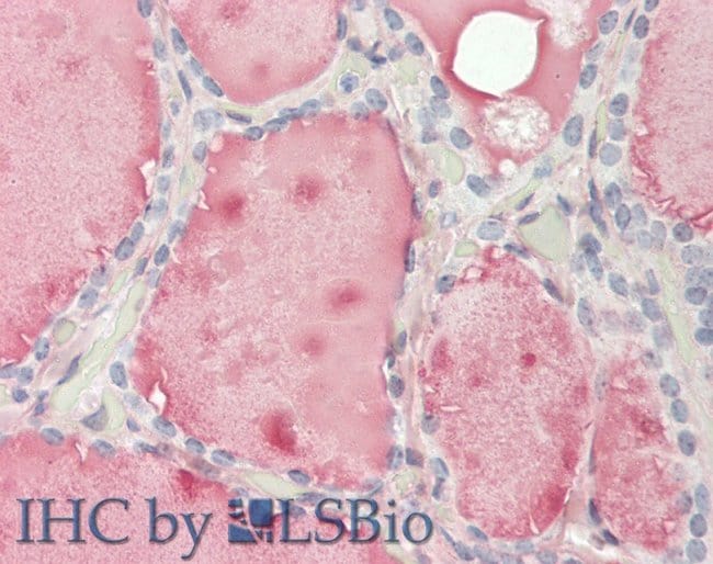
Invitrogen™ FCGR2B Polyclonal Antibody

Rabbit Polyclonal Antibody
Supplier: Invitrogen™ PA5114217
Description
Immunogen sequence: CREMGETLPE KPANPTNPDE ADKVGAENTI TYSLLMHPDA LEEPDDQNRI For short term use, store at 2-8°C up to 1 week. For long term storage, store at -20°C in small aliquots to prevent freeze-thaw cycles. Predicted homology: Human: 100%.
This gene encodes one member of a family of immunoglobulin Fc receptor genes found on the surface of many immune response cells. The protein encoded by this gene is a cell surface receptor found on phagocytic cells such as macrophages and neutrophils, and is involved in the process of phagocytosis and clearing of immune complexes. Alternative splicing results in multiple transcript variants.
Specifications
| FCGR2B | |
| Polyclonal | |
| Unconjugated | |
| FCGR2B | |
| AI528646; CD32; CD32 receptor 2; CD32 receptor 2a; CD32 receptor 2b; CD32A; CD32B; CDw32; F630109E10Rik; Fc fragment of IgG receptor IIb; Fc fragment of IgG, low affinity II, receptor for (CD32); Fc fragment of IgG, low affinity IIb, receptor; Fc fragment of IgG, low affinity IIb, receptor (CD32); Fc fragment of IgG, low affinity IIb, receptor for (CD32); fc gamma receptor IIB; Fc gamma RIIb; Fc receptor, IgG, low affinity IIb; Fc[g]RII; FCG2; FC-gamma RII; fc-gamma RII-a; Fc-gamma RII-b; Fc-gamma-RII; fc-gamma-RIIa; FcgammaRIIB; fc-gamma-RIIb; FcgammaRIIB2; FcGR; Fcgr2; Fcgr2a; FCGR2A1; FCGR2B; FcgRII; Fcr-2; Fcr-3; fcRII; fcRII-a; fcRII-b; FGFR2B; IGFR2; IgG Fc receptor II beta; igG Fc receptor II-b; Low affinity immunoglobulin gamma Fc region receptor II; low affinity immunoglobulin gamma Fc region receptor II-b; Ly-17; LyM-1; Ly-m20; Lymphocyte antigen 17 | |
| Rabbit | |
| Affinity chromatography | |
| RUO | |
| 2213 | |
| -20°C, Avoid Freeze/Thaw Cycles | |
| Liquid |
| Immunohistochemistry (Paraffin), Western Blot | |
| 0.5 mg/mL | |
| PBS with 2% sucrose and 0.09% sodium azide | |
| P31994 | |
| FCGR2B | |
| Immunogen sequence: CREMGETLPE KPANPTNPDE ADKVGAENTI TYSLLMHPDA LEEPDDQNRI. | |
| 100 μL | |
| Primary | |
| Human | |
| Antibody | |
| IgG |
Safety and Handling
WARNING: Cancer - www.P65Warnings.ca.gov
Product Content Correction
Your input is important to us. Please complete this form to provide feedback related to the content on this product.
Product Title
Spot an opportunity for improvement?Share a Content Correction