Promotional price valid on web orders only. Your contract pricing may differ. Interested in signing up for a dedicated account number?
Learn More
Learn More
Invitrogen™ Ferritin Heavy Chain Polyclonal Antibody
Rabbit Polyclonal Antibody
Supplier: Invitrogen™ PA5119109
This item is not returnable.
View return policy
Description
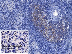
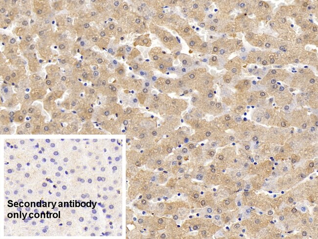
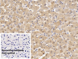
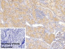
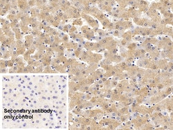
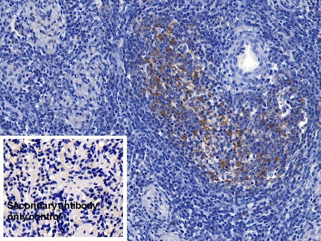
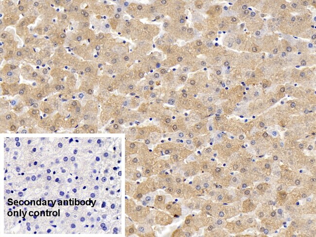
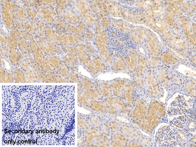
Ferritin Heavy Chain Polyclonal Antibody for Western Blot, ICC/IF, IHC (P)
FTH1 is the heavy subunit of ferritin, the major intracellular iron storage protein in prokaryotes and eukaryotes. It is composed of 24 subunits of the heavy and light ferritin chains. Variation in ferritin subunit composition may affect the rates of iron uptake and release in different tissues. A major function of ferritin is the storage of iron in a soluble and nontoxic state. Defects in ferritin proteins are associated with several neurodegenerative diseases. This gene has multiple pseudogenes. Several alternatively spliced transcript variants have been observed, but their biological validity has not been determined.
Specifications
Ferritin Heavy Chain | |
Polyclonal | |
Unconjugated | |
FTH1 | |
apoferritin; cell proliferation-inducing gene 15 protein; Ferritin H subunit; ferritin heavy chain; ferritin heavy chain 1; Ferritin heavy chain, N-terminally processed; Ferritin subunit H; ferritin, heavy polypeptide 1; FHC; frih; FTH; Fth1; FTHL6; HFE5; H-ferritin; HFt; MFH; MGC104426; OK/SW-cl.84; PIG15; placenta immunoregulatory factor; PLIF; proliferation-inducing protein 15 | |
Rabbit | |
Antigen affinity chromatography, Protein A | |
RUO | |
2495, 397030 | |
Store at 4°C short term. For long term storage, store at -20°C, avoiding freeze/thaw cycles. | |
Liquid |
Immunohistochemistry (Paraffin), Western Blot, Immunocytochemistry | |
0.5 mg/mL | |
PBS with 50% glycerol and 0.05% ProClin 300; pH 7.4 | |
P02794, P19130 | |
FTH1 | |
Recombinant protein Ferritin, Heavy Polypeptide. The antigen corresponds to amino acid range 1-181 of the target protein. | |
200 μL | |
Primary | |
Human, Pig | |
Antibody | |
IgG |
Safety and Handling
WARNING: Cancer - www.P65Warnings.ca.gov
Product Content Correction
Your input is important to us. Please complete this form to provide feedback related to the content on this product.
Product Title
Spot an opportunity for improvement?Share a Content Correction