Promotional price valid on web orders only. Your contract pricing may differ. Interested in signing up for a dedicated account number?
Learn More
Learn More
Invitrogen™ Fetuin A Polyclonal Antibody

Rabbit Polyclonal Antibody
Supplier: Invitrogen™ PA523615
Description
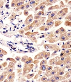
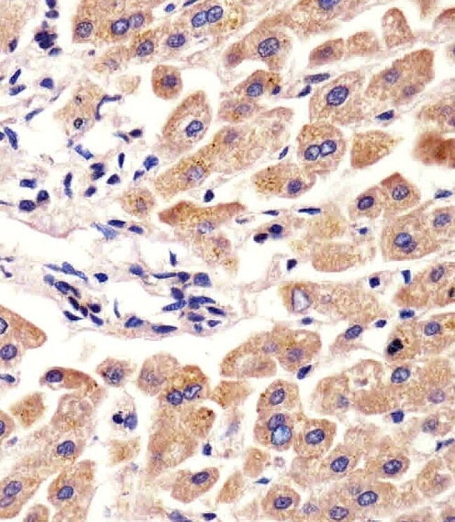
Fetuin A Polyclonal Antibody for Western Blot, ICC/IF, IHC (P), Flow
Alpha2-HS glycoprotein (AHSG), a glycoprotein present in the serum, is synthesized by hepatocytes. The AHSG molecule consists of two polypeptide chains, which are both cleaved from a proprotein encoded from a single mRNA. It is involved in several functions, such as endocytosis, brain development and the formation of bone tissue. The protein is commonly present in the cortical plate of the immature cerebral cortex and bone marrow hemopoietic matrix, and it has therefore been postulated that it participates in the development of the tissues. However, its exact significance is still obscure.
Specifications
| Fetuin A | |
| Polyclonal | |
| PBS with 0.09% sodium azide; pH 7.4 | |
| P02765 | |
| AHSG | |
| KLH conjugated synthetic peptide between 247-276 amino acids from the C-terminal region of human AHSG. | |
| 400 μL | |
| Primary | |
| Human | |
| Antibody | |
| IgG |
| Flow Cytometry, Immunohistochemistry (Paraffin), Western Blot, Immunocytochemistry | |
| Unconjugated | |
| AHSG | |
| 59 kDa bone sialic acid-containing protein; A2HS; Aa2-066; AHS; AHSG; alpha 2 HS-glycoprotein alpha 2 (fetuin); alpha 2-HS glycoprotein; alpha-2-HS-glycoprotein; Alpha-2-HS-glycoprotein chain A; Alpha-2-HS-glycoprotein chain B; Alpha-2-Z-globulin; asialofetuin; Ba-alpha-2-glycoprotein; BSP; Countertrypin; FETUA; fetuin; fetuin A; FetuinA; fetuin-A; Glycoprotein PP63; HSGA; phosphorylated N-glycoprotein pp63; pp63; PRO2743 | |
| Rabbit | |
| Antigen Affinity Chromatography, Protein A | |
| RUO | |
| 197 | |
| Store at 4°C short term. For long term storage, store at -20°C, avoiding freeze/thaw cycles. | |
| Liquid |
Product Content Correction
Your input is important to us. Please complete this form to provide feedback related to the content on this product.
Product Title
Spot an opportunity for improvement?Share a Content Correction