Promotional price valid on web orders only. Your contract pricing may differ. Interested in signing up for a dedicated account number?
Learn More
Learn More
FGF-BP Antibody, Novus Biologicals™

Rabbit Polyclonal Antibody
Supplier: Novus Biologicals NBP18390425UL
Description
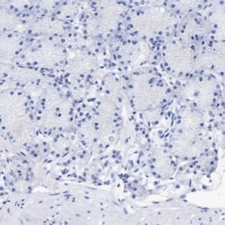
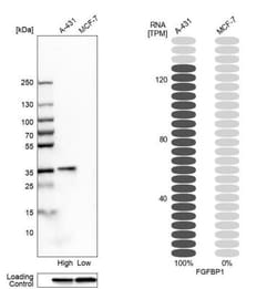
FGF-BP Polyclonal specifically detects FGF-BP in Human samples. It is validated for Western Blot, Immunohistochemistry, Immunohistochemistry-Paraffin.Specifications
FGF-BP | |
Polyclonal | |
Western Blot 0.04-0.4 ug/mL, Immunohistochemistry 1:50 - 1:200, Immunohistochemistry-Paraffin 1:50-1:200 | |
17 kDa heparin-binding growth factor-binding protein, FGF-BP, FGF-BP1, FGFBP-1, FGFBPFGF-binding protein 1, fibroblast growth factor binding protein 1, fibroblast growth factor-binding protein 1, HBp17, HBP1717 kDa HBGF-binding protein, heparin-binding growth factor binding protein | |
Rabbit | |
Affinity Purified | |
RUO | |
Primary | |
Specificity of antibody verified on a Protein Array containing target protein plus 383 other non-specific proteins. | |
Store at 4C short term. Aliquot and store at -20C long term. Avoid freeze-thaw cycles. |
Western Blot, Immunohistochemistry, Immunohistochemistry (Paraffin) | |
Unconjugated | |
PBS (pH 7.2) and 40% Glycerol with 0.02% Sodium Azide | |
FGFBP1 | |
This antibody was developed against Recombinant Protein corresponding to amino acids:DHEFSCVFAGNPTSCLKLKDERVYWKQVARNLRSQKDICRYSKTAVKTRVCRKDFPESSLKLVSSTLFGNTKPRKEKTEMSPREHIKGKETTPSSLAVTQTMATKAPECVEDPDMANQRKTALEFCGETWSSLCTFFL | |
25 μL | |
Angiogenesis, Cell Cycle and Replication | |
9982 | |
Human | |
IgG |
Product Content Correction
Your input is important to us. Please complete this form to provide feedback related to the content on this product.
Product Title
For Research Use Only
Spot an opportunity for improvement?Share a Content Correction