Promotional price valid on web orders only. Your contract pricing may differ. Interested in signing up for a dedicated account number?
Learn More
Learn More
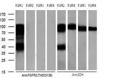
FGFR2 Monoclonal Antibody (OTI4D6), TrueMAB™, OriGene

Mouse Monoclonal Antibody
Supplier: OriGene TA503136

Description
FGFR2 is a member of the fibroblast growth factor receptor family. It is a tyrosine-protein kinase that acts as a cell-surface receptor for fibroblast growth factors and plays a central role in the regulation of cell proliferation, differentiation, migration, apoptosis, and embryonic development. FGFR family members differ from one another in their ligand affinities and tissue distribution. A full-length representative protein consists of an extracellular region, composed of three immunoglobulin-like domains, a single hydrophobic membrane-spanning segment and a cytoplasmic tyrosine kinase domain. Mutations in this gene are associated with Crouzon syndrome, Pfeiffer syndrome, Craniosynostosis, Apert syndrome, Jackson-Weiss syndrome, Beare-Stevenson cutis gyrata syndrome, Saethre-Chotzen syndrome, and syndromic craniosynostosis. Multiple alternatively spliced transcript variants encoding different isoforms have been noted for this gene.Specifications
FGFR2 | |
Monoclonal | |
1 mg/mL | |
PBS with 1% BSA, 50% glycerol and 0.02% sodium azide | |
P21802 | |
FGFR2 | |
Full length human recombit protein of human FGFR2 produced in HEK293T cell. | |
100 μL | |
Primary | |
Human | |
Antibody | |
IgG2b |
Flow Cytometry, Immunocytochemistry, Immunofluorescence, Western Blot | |
OTI4D6 | |
Unconjugated | |
FGFR2 | |
BBDS, BEK, BFR-1, CD332, CEK3, CFD1, ECT1, JWS, K-SAM, KGFR, TK14, TK25 | |
Mouse | |
Affinity Chromatography | |
RUO | |
2263 | |
-20° C, Avoid Freeze/Thaw Cycles | |
Liquid |
Product Content Correction
The Fisher Scientific Encompass Program offers items which are not part of our distribution portfolio. These products typically do not have pictures or detailed descriptions. However, we are committed to improving your shopping experience. Please use the form below to provide feedback related to the content on this product.
Product Title
Spot an opportunity for improvement?Share a Content Correction