Learn More
Invitrogen™ FGFR2 Polyclonal Antibody

Description
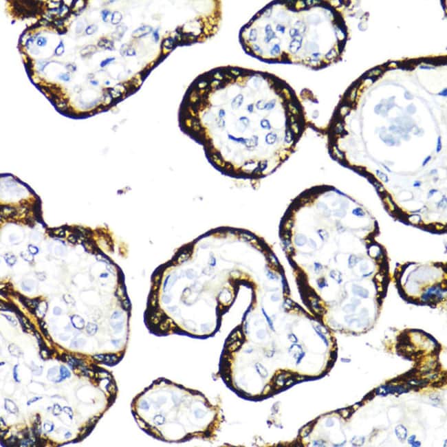
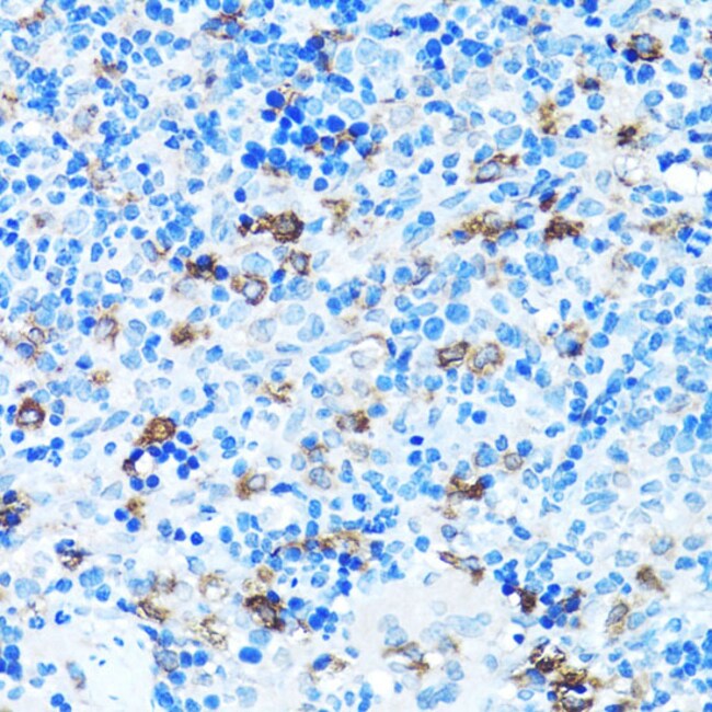
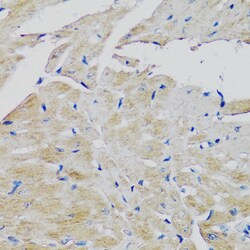
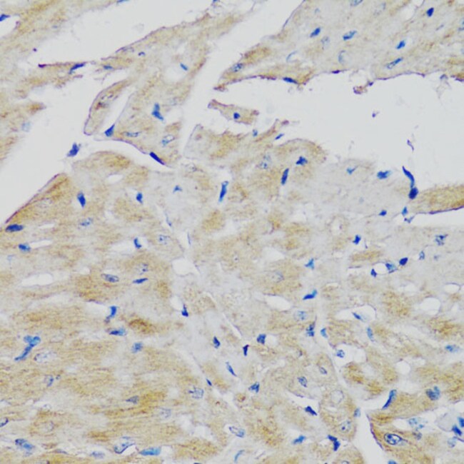
Positive Samples: 293T, LO2; Cellular Location: Cell membrane, Cytoplasmic vesicle, Golgi apparatus, Single-pass type I membrane protein.
Specifications
Specifications
| Antigen | FGFR2 |
| Applications | ELISA, Immunohistochemistry (Paraffin) |
| Classification | Polyclonal |
| Concentration | 0.39 mg/mL |
| Conjugate | Unconjugated |
| Formulation | PBS with 50% glycerol and 0.02% sodium azide; pH 7.3 |
| Gene | FGFR2 |
| Gene Accession No. | P21802, P21803 |
| Gene Alias | AU043015; AW556123; bacteria-expressed kinase; BBDS; BEK; BEK fibroblast growth factor receptor; BFR-1; CD332; CEK3; CFD1; ECT1; FGF Receptor; FGF Receptor 2; FGF-10; FGFR; FGFR2; FGFR-2; Fgfr7; Fgfr-7; fibroblast growth factor receptor 2; JWS; Keratinocyte growth factor receptor; KGFR; KGFRTr; KSAM; K-SAM; protein tyrosine kinase, receptor like 14; Soluble KGFR; svs; TK14; TK25 |
| Gene Symbols | FGFR2 |
| Show More |
By clicking Submit, you acknowledge that you may be contacted by Fisher Scientific in regards to the feedback you have provided in this form. We will not share your information for any other purposes. All contact information provided shall also be maintained in accordance with our Privacy Policy.