Promotional price valid on web orders only. Your contract pricing may differ. Interested in signing up for a dedicated account number?
Learn More

Invitrogen™ Fibrinogen Beta Chain Polyclonal Antibody

Catalog No. PIPA5121990
Change view
Click to view available options
Quantity:
20 μL
200 μL
2 product options available for selection
Product selection table with 2 available options. Use arrow keys to navigate and Enter or Space to select.
Catalog No. Quantity
PIPA5121990 20 μL
PIPA5119115 200 μL
Use arrow keys to navigate between rows. Press Enter or Space to select a product option. 2 options available.
2 options
This item is not returnable. View return policy
Catalog No. PIPA5121990 Supplier Invitrogen™ Supplier No. PA5121990
Only null left
Add to Cart
Add to Cart
This item is not returnable. View return policy

Rabbit Polyclonal Antibody

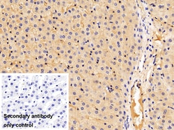
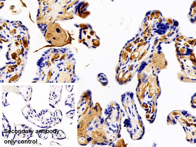
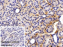
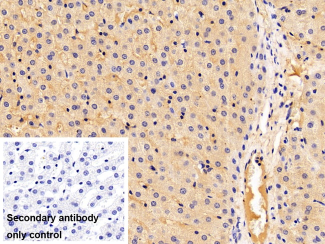
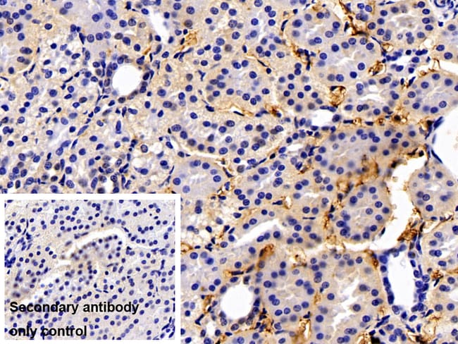
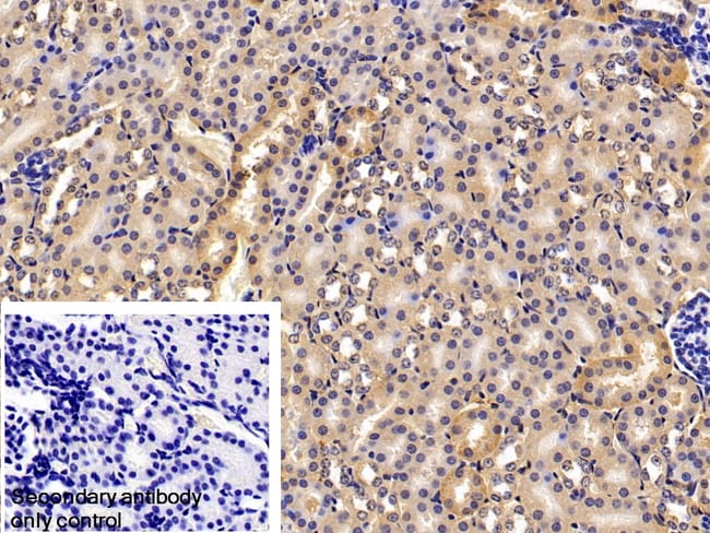
Fibrinogen Beta Chain Polyclonal Antibody for Flow, IHC (P), Western Blot

FIBB is the beta component of fibrinogen, a blood-borne glycoprotein comprised of three pairs of nonidentical polypeptide chains. Following vascular injury, fibrinogen is cleaved by thrombin to form fibrin which is the most abundant component of blood clots. In addition, various cleavage products of fibrinogen and fibrin regulate cell adhesion and spreading, display vasoconstrictor and chemotactic activities, and are mitogens for several cell types. Mutations in its gene lead to several disorders, including afibrinogenemia, dysfibrinogenemia, hypodysfibrinogenemia and thrombotic tendency.
TRUSTED_SUSTAINABILITY

Specifications

Antigen Fibrinogen Beta Chain
Applications Flow Cytometry, Immunohistochemistry (Paraffin), Western Blot
Classification Polyclonal
Concentration 0.5 mg/mL
Conjugate Unconjugated
Formulation PBS with 50% glycerol and 0.05% ProClin 300; pH 7.4
Gene Fgb
Gene Accession No. P02675, P14477, Q8K0E8
Gene Alias 2510049G14Rik; Ab1-181; Ab1-216; Ac1-581; B beta polypeptide; beta-fibrinogen; epididymis secretory sperm binding protein Li 78p; Fgb; fibrinogen; Fibrinogen beta chain; fibrinogen, B beta polypeptide; fibrinogen, beta polypeptide; Fibrinopeptide B; HEL-S-78p; Liver regeneration-related protein LRRG036/LRRG043/LRRG189; MGC104327; MGC120405
Gene Symbols Fgb
Host Species Rabbit
Immunogen Recombinant protein Fibrinogen Beta Chain. The antigen corresponds to amino acid range 29-491 of the target protein.
Purification Method Protein A, Antigen affinity chromatography
Quantity 20 μL
Regulatory Status RUO
Primary or Secondary Primary
Gene ID (Entrez) 100514354, 110135, 2244
Target Species Human, Mouse, Pig
Content And Storage Store at 4°C short term. For long term storage, store at -20°C, avoiding freeze/thaw cycles.
Product Type Antibody
Form Liquid
Isotype IgG
Show More Show Less
Product Title
Select an issue

By clicking Submit, you acknowledge that you may be contacted by Fisher Scientific in regards to the feedback you have provided in this form. We will not share your information for any other purposes. All contact information provided shall also be maintained in accordance with our Privacy Policy.