Learn More
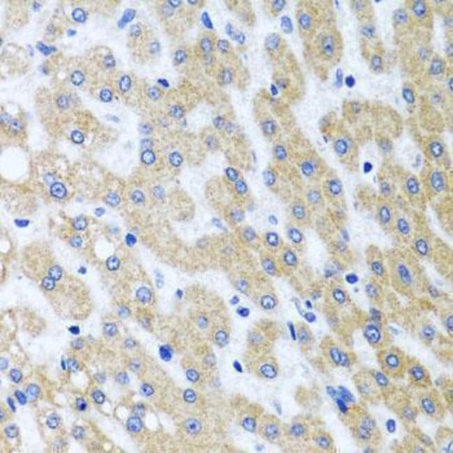
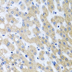
PRMT2 Antibody, ProSci

Description
Specifications
Specifications
| Antigen | PRMT2 |
| Applications | Western Blot, Immunohistochemistry, Immunofluorescence |
| Classification | Polyclonal |
| Conjugate | Unconjugated |
| Dilution | WB: 1:500 - 1:2000, IHC: 1:50 - 1:200, IF: 1:50 - 1:100 |
| Formulation | PBS with 0.02% sodium azide, 50% glycerol, pH7.3. |
| Gene Alias | PRMT2, HRMT1L1 |
| Host Species | Rabbit |
| Immunogen | Recombinant fusion protein containing a sequence corresponding to amino acids 1-300 of human PRMT2 (NP_996845.1). |
| Purification Method | Affinity purification |
| Show More |
By clicking Submit, you acknowledge that you may be contacted by Fisher Scientific in regards to the feedback you have provided in this form. We will not share your information for any other purposes. All contact information provided shall also be maintained in accordance with our Privacy Policy.