Promotional price valid on web orders only. Your contract pricing may differ. Interested in signing up for a dedicated account number?
Learn More

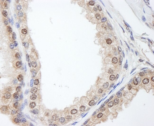
FKBP4/FKBP52 Rabbit anti-Human, Mouse, Polyclonal, Bethyl Laboratories

Catalog No. 501560359
Encompass_Preferred
Change view
Click to view available options
Quantity:
100 μL
1 product options available for selection
Product selection table with 1 available options. Use arrow keys to navigate and Enter or Space to select.
Catalog No. Quantity
50-156-0359 100 μL
Use arrow keys to navigate between rows. Press Enter or Space to select a product option. 1 options available.
1 options
Catalog No. 50-156-0359 Supplier Bethyl Laboratories, Inc Supplier No. A301426A
Only null left
Add to Cart
Add to Cart

Rabbit Polyclonal Antibody

The recommended shelf life for this product is 1 year from date of receipt. Application Note: For IHC, epitope retrieval with citrate buffer pH 6.0 is recommended for FFPE tissue sections. Based on 100% sequence identity, this antibody is predicted to react with Rat, Bovine and Rabbit

The protein encoded by this gene is a member of the immunophilin protein family, which play a role in immunoregulation and basic cellular processes involving protein folding and trafficking. This encoded protein is a cis-trans prolyl isomerase that binds to the immunosuppressants FK506 and rapamycin. It has high structural and functional similarity to FK506-binding protein 1A and thus may play a role in the intracellular trafficking of hetero-oligomeric forms of the steroid hormone receptors. This protein correlates strongly with adeno-associated virus type 2 vectors resulting in a significant increase in AAV-mediated transgene expression in human cell lines. Thus this encoded protein is thought to have important implications for the optimal use of AAV vectors in human gene therapy. The human genome contains several non-transcribed pseudogenes similar to this gene.

Specifications

Antigen FKBP4/FKBP52
Applications Immunohistochemistry, Western Blot
Classification Polyclonal
Concentration 0.2 mg/ml
Conjugate Unconjugated
Formulation TBS with 0.1% BSA and 0.09% sodium azide
Gene FKBP4
Gene Accession No. P30416, Q02790
Gene Alias FKBP51; FKBP59; HBI; Hsp56; PPIase; p52; 51 kDa FK506-binding protein; 59 kDa FK506-binding protein 4; HSP binding immunophilin; T-cell FK506-binding protein; peptidyl-prolyl cis-trans isomerase FKBP4; peptidylprolyl cis-trans isomerase; rotamase
Gene Symbols FKBP4
Host Species Rabbit
Immunogen Between 1 and 50
Purification Method Antigen affinity chromatography
Quantity 100 μL
Regulatory Status RUO
Primary or Secondary Primary
Gene ID (Entrez) 14228, 2288
Target Species Human, Mouse
Content And Storage 4° C
Product Type Antibody
Form Liquid
Isotype IgG
Show More Show Less
Product Title
Select an issue

By clicking Submit, you acknowledge that you may be contacted by Fisher Scientific in regards to the feedback you have provided in this form. We will not share your information for any other purposes. All contact information provided shall also be maintained in accordance with our Privacy Policy.