Promotional price valid on web orders only. Your contract pricing may differ. Interested in signing up for a dedicated account number?
Learn More

FLJ20530/KAONASHI1 Rabbit anti-Human, Polyclonal, Bethyl Laboratories

Catalog No. 501557246
Encompass_Preferred
Change view
Click to view available options
Quantity:
100 μL
1 product options available for selection
Product selection table with 1 available options. Use arrow keys to navigate and Enter or Space to select.
Catalog No. Quantity
50-155-7246 100 μL
Use arrow keys to navigate between rows. Press Enter or Space to select a product option. 1 options available.
1 options
Catalog No. 50-155-7246 Supplier Bethyl Laboratories, Inc Supplier No. A300269A
Only null left
Add to Cart
Add to Cart

Rabbit Polyclonal Antibody

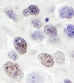
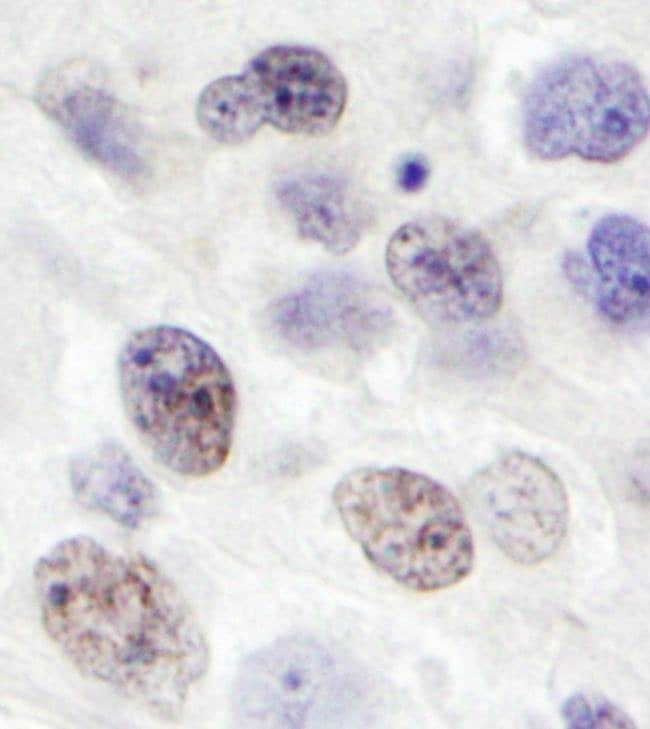
The recommended shelf life for this product is 1 year from date of receipt. Application Note: For IHC, epitope retrieval with Tris-EDTA pH 9.0 is recommended for FFPE tissue sections.

This gene encodes a component of prolyl 4-hydroxylase, a key enzyme in collagen synthesis composed of two identical alpha subunits and two beta subunits. The encoded protein is one of several different types of alpha subunits and provides the major part of the catalytic site of the active enzyme. In collagen and related proteins, prolyl 4-hydroxylase catalyzes the formation of 4-hydroxyproline that is essential to the proper three-dimensional folding of newly synthesized procollagen chains. Alternatively spliced transcript variants encoding different isoforms have been described.

Specifications

Antigen FLJ20530/KAONASHI1
Applications Immunohistochemistry, Western Blot
Classification Polyclonal
Concentration 1 mg/ml
Conjugate Unconjugated
Formulation phosphate, tris citrate with 0.09% sodium azide; pH 7-8
Gene INTS8
Gene Accession No. Q75QN2
Gene Alias C8orf52, chromosome 8 open reading frame 52, FLJ20530, INT8, MGC131633, protein kaonashi-1
Gene Symbols INTS8
Host Species Rabbit
Immunogen Between 200 and 250
Purification Method Antigen affinity chromatography
Quantity 100 μL
Regulatory Status RUO
Primary or Secondary Primary
Gene ID (Entrez) 55656
Target Species Human
Content And Storage 4° C
Product Type Antibody
Form Liquid
Isotype IgG
Show More Show Less
Product Title
Select an issue

By clicking Submit, you acknowledge that you may be contacted by Fisher Scientific in regards to the feedback you have provided in this form. We will not share your information for any other purposes. All contact information provided shall also be maintained in accordance with our Privacy Policy.