Promotional price valid on web orders only. Your contract pricing may differ. Interested in signing up for a dedicated account number?
Learn More
Learn More
Flotillin-1 Rabbit anti-Human, Mouse, Rat, Clone: JB19-45, Novus Biologicals™

Rabbit Monoclonal Antibody
Supplier: Novus Biologicals NBP275492
Description
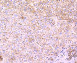
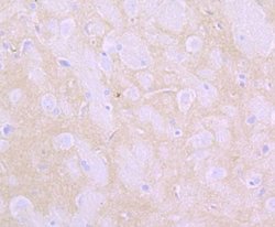
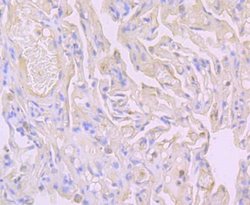
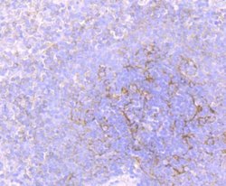
Flotillin-1 Monoclonal specifically detects Flotillin-1 in Human, Mouse, Rat samples. It is validated for Western Blot, Flow Cytometry, Immunohistochemistry, Immunohistochemistry-Paraffin.Specifications
Flotillin-1 | |
Monoclonal | |
1 mg/mL | |
Western Blot 1:100-1:2000, Flow Cytometry 1:50-1:100, Immunohistochemistry 1:10 - 1:500, Immunohistochemistry-Paraffin 1:50-1:100 | |
flotillin 1, flotillin-1, integral membrane component of caveolae | |
Rabbit | |
47 kDa | |
100 μL | |
10211.0 | |
Store at 4°C short term. Aliquot and store at -20°C long term. Avoid freeze-thaw cycles. | |
IgG |
Western Blot, Flow Cytometry, Immunohistochemistry, Immunohistochemistry (Paraffin) | |
JB19-45 | |
Unconjugated | |
TBS (pH7.4), 0.05% BSA, 40% Glycerol with 0.05% Sodium Azide | |
FLOT1 | |
Synthetic peptide within Human Flotillin-1 aa 378-427/ 427. (SwissProt: O75955 Human; SwissProt: O08917 Mouse; SwissProt: Q9Z1E1 Rat) | |
Protein A purified | |
Primary | |
Human, Mouse, Rat | |
Purified |
Product Content Correction
Your input is important to us. Please complete this form to provide feedback related to the content on this product.
Product Title
Spot an opportunity for improvement?Share a Content Correction