Promotional price valid on web orders only. Your contract pricing may differ. Interested in signing up for a dedicated account number?
Learn More
Learn More
Invitrogen™ FMO3 Polyclonal Antibody

Rabbit Polyclonal Antibody
Supplier: Invitrogen™ PA553084
Description
Immunogen sequence: IYKSVFSNSS KEMMCFPDFP FPDDFPNFMH NSKIQEYIIA FAKEKNLLKY IQFKTFVSSV NKHPDFATTG QWDVTTERDG KKESAVFDAV MVCSGHHVYP NLPK Highest antigen sequence identity to the following orthologs: Mouse - 76%, Rat - 79%.
The mammalian flavin-containing monooxygenases (FMO; EC 1.14.13.8) represent a multigene family whose gene products are localized in the endoplasmic reticulum of many tissues. These enzymes catalyze the NADPH-dependent oxidative metabolism of many drugs, pesticides, and other foreign compounds. Their substrates are soft nucleophiles with an electron-rich center, typically a nitrogen, sulfur or phosphorus-containing functional group, as the site for oxidative attack by the enzyme.
Specifications
| FMO3 | |
| Polyclonal | |
| Unconjugated | |
| Fmo3 | |
| AW111792; Dimethylaniline monooxygenase [N-oxide-forming] 3; dimethylaniline oxidase 3; dJ127D3.1; flavin containing dimethylaniline monoxygenase 3; flavin containing monooxygenase 3; flavin-containing monooxygenase 3; flavin-containing monooxygenase FMO3; FM03; FMO 1D1; FMO 3; FMO form 2; FMO II; FMO3; FMOII; hepatic flavin-containing monooxygenase 3; hepatic flavin-containing monooxygenase-3; MGC34400; TMAU; Trimethylamine monooxygenase; Unknown (protein for MGC:128044) | |
| Rabbit | |
| Antigen Affinity Chromatography | |
| RUO | |
| 2328 | |
| Store at 4°C short term. For long term storage, store at -20°C, avoiding freeze/thaw cycles. | |
| Liquid |
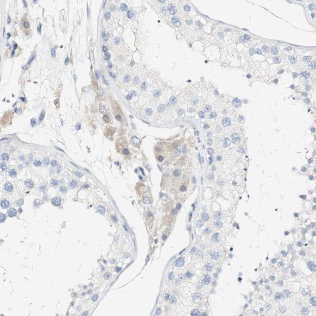
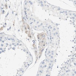
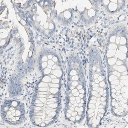
| Immunohistochemistry (Paraffin), Western Blot | |
| 0.1 mg/mL | |
| PBS with 40% glycerol and 0.02% sodium azide; pH 7.2 | |
| P31513 | |
| Fmo3 | |
| Recombinant protein corresponding to Human FMO3. Recombinant protein control fragment (Product #RP-89950). | |
| 100 μL | |
| Primary | |
| Human | |
| Antibody | |
| IgG |
Product Content Correction
Your input is important to us. Please complete this form to provide feedback related to the content on this product.
Product Title
Spot an opportunity for improvement?Share a Content Correction