Promotional price valid on web orders only. Your contract pricing may differ. Interested in signing up for a dedicated account number?
Learn More
Learn More
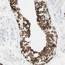
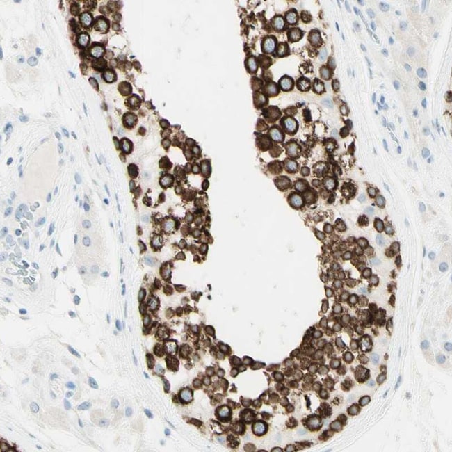
Invitrogen™ FMR1NB Polyclonal Antibody

Rabbit Polyclonal Antibody
Supplier: Invitrogen™ PA552813
Description
Immunogen sequence: VLANGHILPN SENAHGQSLE EDSALEALLN FFFPTTCNLR ENQVAKPCNE LQDLSESECL RHKCCFSSSG TTSFKCFAPF RDVPKQMMQM Highest antigen sequence identity to the following orthologs: Mouse - 42%, Rat - 45%.
FMR1NB gene ontology (GO) annotation includes integral component of membrane and integral component of membrane.
Specifications
FMR1NB | |
Polyclonal | |
Unconjugated | |
FMR1NB | |
3830422N12Rik; cancer/testis antigen 37; CT37; FMR1NB; fragile X mental retardation 1 neighbor; fragile X mental retardation 1 neighbor protein; NYSAR35; NY-SAR-35; Protein mNY-SAR-35; sarcoma antigen NY-SAR-35 | |
Rabbit | |
Antigen Affinity Chromatography | |
RUO | |
158521 | |
Store at 4°C short term. For long term storage, store at -20°C, avoiding freeze/thaw cycles. | |
Liquid |
Immunohistochemistry (Paraffin), Western Blot | |
0.2 mg/mL | |
PBS with 40% glycerol and 0.02% sodium azide; pH 7.2 | |
Q8N0W7 | |
FMR1NB | |
Recombinant protein corresponding to Human FMR1NB. Recombinant protein control fragment (Product #RP-92244). | |
100 μL | |
Primary | |
Human | |
Antibody | |
IgG |
Product Content Correction
Your input is important to us. Please complete this form to provide feedback related to the content on this product.
Product Title
Spot an opportunity for improvement?Share a Content Correction