Promotional price valid on web orders only. Your contract pricing may differ. Interested in signing up for a dedicated account number?
Learn More
Learn More
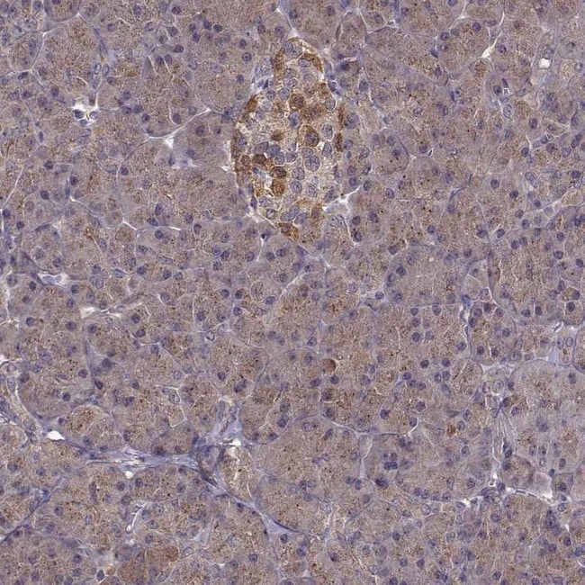
Invitrogen™ FNIP2 Polyclonal Antibody

Rabbit Polyclonal Antibody
Supplier: Invitrogen™ PA5111693
Description
Immunogen sequence: GFQENVCCPQ NRLSEGDEGE SDKGFAEDRG SRNDMAADIA GQLSHAADLG TASHGAGGTG GRRLEATRGL YVKAAEGPVL E.
FNIP2 is the second protein found to interact with folliculin, the product of the Birt-Hogg-Dube (BHD) gene. Folliculin is thought to act as a tumor suppressor as mutations or loss of heterozygosity in this gene are associated with BHD syndrome-related renal tumors. Folliculin and FNIP1, a protein that shares 49% identity to FNIP2, bind to AMPK, an important energy sensor in cells that negatively regulates the mammalian target of rapamycin (mTOR), a protein that is thought to be the master switch for cell growth and proliferation. FNIP1 and FNIP2 are able to form homo- and heteromeric multimers, suggesting these proteins may have a functional relationship.
Specifications
| FNIP2 | |
| Polyclonal | |
| PBS with 40% glycerol and 0.02% sodium azide; pH 7.2 | |
| Q9P278 | |
| FNIP2 | |
| Recombinant Protein corresonding to Human FNIP2. | |
| 100 μL | |
| Primary | |
| Human | |
| Antibody | |
| IgG |
| Immunohistochemistry (Paraffin) | |
| Unconjugated | |
| FNIP2 | |
| D630023B12Rik; FNIP1-like protein; Fnip2; Fnipl; folliculin interacting protein 2; folliculin-interacting protein 2; KIAA1450; MAPO1; mKIAA1450; O6-methylguanine-induced apoptosis 1 protein; RGD1562174 | |
| Rabbit | |
| Antigen affinity chromatography | |
| RUO | |
| 57600 | |
| Store at 4°C short term. For long term storage, store at -20°C, avoiding freeze/thaw cycles. | |
| Liquid |
Product Content Correction
Your input is important to us. Please complete this form to provide feedback related to the content on this product.
Product Title
Spot an opportunity for improvement?Share a Content Correction