Promotional price valid on web orders only. Your contract pricing may differ. Interested in signing up for a dedicated account number?
Learn More
Learn More
Invitrogen™ FNIP2 Polyclonal Antibody

Rabbit Polyclonal Antibody
Supplier: Invitrogen™ PA5117954
This item is not returnable.
View return policy
Description
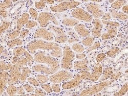
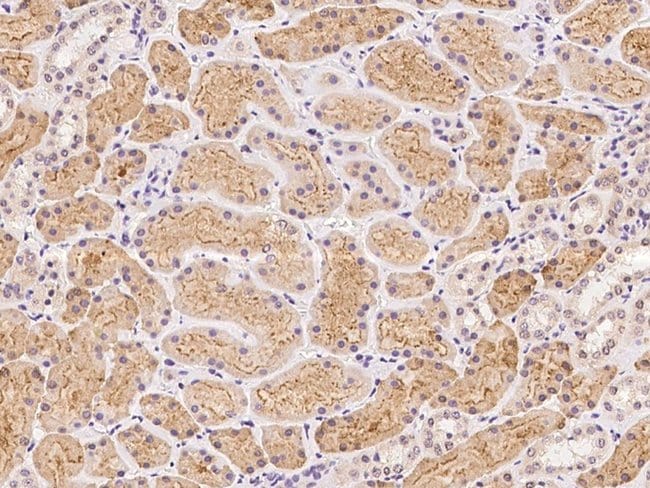
FNIP2 Polyclonal Antibody for Western Blot, IHC (P), IP
FNIP2 is the second protein found to interact with folliculin, the product of the Birt-Hogg-Dube (BHD) gene. Folliculin is thought to act as a tumor suppressor as mutations or loss of heterozygosity in this gene are associated with BHD syndrome-related renal tumors. Folliculin and FNIP1, a protein that shares 49% identity to FNIP2, bind to AMPK, an important energy sensor in cells that negatively regulates the mammalian target of rapamycin (mTOR), a protein that is thought to be the master switch for cell growth and proliferation. FNIP1 and FNIP2 are able to form homo- and heteromeric multimers, suggesting these proteins may have a functional relationship.
Specifications
| FNIP2 | |
| Polyclonal | |
| PBS with 0.03% ProClin 300; pH 7 | |
| Q9P278 | |
| FNIP2 | |
| E. coli-derived Human FNIP2 fragment. | |
| 100 μL | |
| Primary | |
| Human | |
| Antibody | |
| IgG |
| Immunohistochemistry (Paraffin), Immunoprecipitation, Western Blot | |
| Unconjugated | |
| FNIP2 | |
| D630023B12Rik; FNIP1-like protein; Fnip2; Fnipl; folliculin interacting protein 2; folliculin-interacting protein 2; KIAA1450; MAPO1; mKIAA1450; O6-methylguanine-induced apoptosis 1 protein; RGD1562174 | |
| Rabbit | |
| Antigen Affinity Chromatography, Protein A | |
| RUO | |
| 57600 | |
| -20°C, Avoid Freeze/Thaw Cycles | |
| Liquid |
Safety and Handling
WARNING: Cancer - www.P65Warnings.ca.gov
Product Content Correction
Your input is important to us. Please complete this form to provide feedback related to the content on this product.
Product Title
Spot an opportunity for improvement?Share a Content Correction