Promotional price valid on web orders only. Your contract pricing may differ. Interested in signing up for a dedicated account number?
Learn More
Learn More
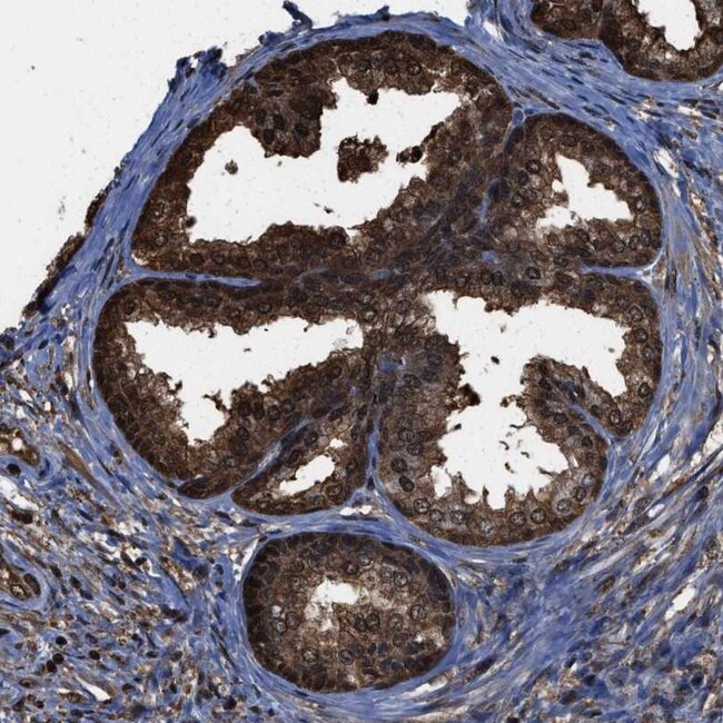
Invitrogen™ FNTA Polyclonal Antibody

Rabbit Polyclonal Antibody
Supplier: Invitrogen™ PA553858
Description
Immunogen sequence: LDSPSYVLYR HFRRVLLKSL QKDLHEEMNY ITAIIEEQPK NYQVWHHRRV LVEWLRDPSQ ELEFIADI Highest antigen sequence identity to the following orthologs: Mouse - 84%, Rat - 84%.
FNTA (Farnesyltransferase, CAAX box; alphaCAAX farnesyltransferase alpha subunit, FPTA, FTase-alpha, GGTase-I-alpha, Protein farnesyl transferase/ geranyl geranyl transferase type I alpha subunit(PGGT1A), Ras proteins prenyl transferase alpha, Type I protein geranyl-geranyl transferase alpha subunit) is located locus 8p11 (human). Prenylation is a common intracellular posttranslational protein modification catalyzed by prenyltransferases. The best characterized among these prenyltransferases is the CAAX farnesyl transferase (2. 5. 1. 21), which is alpha-beta heterodimeric enzyme. It catalyzes the attachment of a farnesyl group from farnesyl phosphate to cysteine residues at the fourth position from the C terminus of proteins that end in the CAAX box. FNTA or the alpha subunit of farnesyl transferase is shared by the geranyl-geranyl protein transferases. Apart from transfer of farnesyl and geranyl groups to proteins, FNTA has been proposed to regulate intracellular signaling pathways involving p21ras. Reports have shown that FNTA interacts with TGF-beta and activin-type I receptors.
Specifications
| FNTA | |
| Polyclonal | |
| Unconjugated | |
| FNTA | |
| CAAX farnesyltransferase subunit alpha; farnesyl-protein transferase alpha-subunit; farnesyltransferase, CAAX box, alpha; Farnesyltransferase, subunit alpha; Fnta; FPTA; FTA; FTase-alpha; GGTase-I-alpha; PFAS; PGGT1A; Protein farnesyltransferase/geranylgeranyltransferase type-1 subunit alpha; protein prenyltransferase alpha subunit repeat containing 2; PTAR2; Ras proteins prenyltransferase subunit alpha; type I protein geranyl-geranyltransferase alpha subunit; type I protein geranyl-geranyltransferase subunit alpha | |
| Rabbit | |
| Antigen Affinity Chromatography | |
| RUO | |
| 2339 | |
| Store at 4°C short term. For long term storage, store at -20°C, avoiding freeze/thaw cycles. | |
| Liquid |
| Immunohistochemistry (Paraffin), Western Blot, Immunocytochemistry | |
| 0.2 mg/mL | |
| PBS with 40% glycerol and 0.02% sodium azide; pH 7.2 | |
| P49354 | |
| FNTA | |
| Recombinant protein corresponding to Human FNTA. Recombinant protein control fragment (Product #RP-101897). | |
| 100 μL | |
| Primary | |
| Human | |
| Antibody | |
| IgG |
Product Content Correction
Your input is important to us. Please complete this form to provide feedback related to the content on this product.
Product Title
Spot an opportunity for improvement?Share a Content Correction