Promotional price valid on web orders only. Your contract pricing may differ. Interested in signing up for a dedicated account number?
Learn More
Learn More
Invitrogen™ FNTA Polyclonal Antibody

Rabbit Polyclonal Antibody
Supplier: Invitrogen™ PA597159
Description
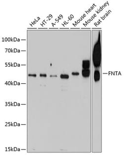
Immunogen sequence: LKGILQDRGL SKYPNLLNQL LDLQPSHSSP YLIAFLVDIY EDMLENQCDN KEDILNKALE LCEILAKEKD TIRKEYWRYI GRSLQSKHST ENDSPTNVQQ; Positive Samples: HeLa, HT-29, A-549, HL-60, Mouse heart, Mouse kidney, Rat brain.
FNTA (Farnesyltransferase, CAAX box; alphaCAAX farnesyltransferase alpha subunit, FPTA, FTase-alpha, GGTase-I-alpha, Protein farnesyl transferase/ geranyl geranyl transferase type I alpha subunit(PGGT1A), Ras proteins prenyl transferase alpha, Type I protein geranyl-geranyl transferase alpha subunit) is located locus 8p11 (human). Prenylation is a common intracellular posttranslational protein modification catalyzed by prenyltransferases. The best characterized among these prenyltransferases is the CAAX farnesyl transferase (2. 5. 1. 21), which is alpha-beta heterodimeric enzyme. It catalyzes the attachment of a farnesyl group from farnesyl phosphate to cysteine residues at the fourth position from the C terminus of proteins that end in the CAAX box. FNTA or the alpha subunit of farnesyl transferase is shared by the geranyl-geranyl protein transferases. Apart from transfer of farnesyl and geranyl groups to proteins, FNTA has been proposed to regulate intracellular signaling pathways involving p21ras. Reports have shown that FNTA interacts with TGF-beta and activin-type I receptors.
Specifications
FNTA | |
Polyclonal | |
Unconjugated | |
FNTA | |
CAAX farnesyltransferase subunit alpha; farnesyl-protein transferase alpha-subunit; farnesyltransferase, CAAX box, alpha; Farnesyltransferase, subunit alpha; Fnta; FPTA; FTA; FTase-alpha; GGTase-I-alpha; PFAS; PGGT1A; Protein farnesyltransferase/geranylgeranyltransferase type-1 subunit alpha; protein prenyltransferase alpha subunit repeat containing 2; PTAR2; Ras proteins prenyltransferase subunit alpha; type I protein geranyl-geranyltransferase alpha subunit; type I protein geranyl-geranyltransferase subunit alpha | |
Rabbit | |
Affinity Chromatography | |
RUO | |
14272, 2339, 25318 | |
-20°C, Avoid Freeze/Thaw Cycles | |
Liquid |
ELISA, Western Blot | |
1.45 mg/mL | |
PBS with 50% glycerol and 0.02% sodium azide; pH 7.3 | |
P49354, Q04631, Q61239 | |
FNTA | |
Recombinant fusion protein containing a sequence corresponding to amino acids 280-379 of human FNTA (NP_0020181). | |
100 μL | |
Primary | |
Human, Mouse, Rat | |
Antibody | |
IgG |
Safety and Handling
WARNING: Cancer - www.P65Warnings.ca.gov
Product Content Correction
Your input is important to us. Please complete this form to provide feedback related to the content on this product.
Product Title
Spot an opportunity for improvement?Share a Content Correction