Learn More
Invitrogen™ FNTB Recombinant Rabbit Monoclonal Antibody (3I4X5)

Description
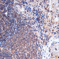
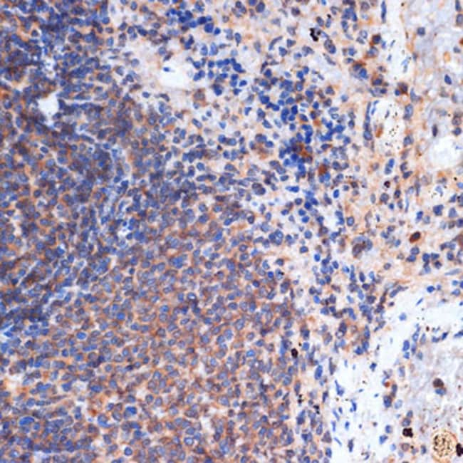
Positive Samples: HeLa, 293T, A-431, Rat brain Immunogen sequence: MASPSSFTYY CPPSSSPVWS EPLYSLRPEH ARERLQDDSV ETVTSIEQAK VEEKIQEVFS SYKFNHLVPR LVLQREKHFH YLKRGLRQLT DAYECLDASR.
Specifications
Specifications
| Antigen | FNTB |
| Applications | ELISA, Immunohistochemistry (Paraffin), Western Blot |
| Classification | Recombinant Monoclonal |
| Clone | 3I4X5 |
| Concentration | 1.3 mg/mL |
| Conjugate | Unconjugated |
| Formulation | PBS with 0.05% BSA, 50% glycerol and 0.02% sodium azide; pH 7.3 |
| Gene | FNTB |
| Gene Accession No. | P49356, Q02293 |
| Gene Alias | 2010013E13Rik; AA409500; CAAX farnesyltransferase subunit beta; EC 2.5.1.58; farnesyl-protein transferase beta-subunit; farnesyltransferase beta subunit; farnesyltransferase, CAAX box, beta; FNTB; FPTB; ft beta; FTase beta; FTase-beta; LOW QUALITY PROTEIN: protein farnesyltransferase subunit beta; protein farnesyltransferase subunit beta; Ras proteins prenyltransferase subunit beta |
| Show More |
By clicking Submit, you acknowledge that you may be contacted by Fisher Scientific in regards to the feedback you have provided in this form. We will not share your information for any other purposes. All contact information provided shall also be maintained in accordance with our Privacy Policy.