Learn More
Invitrogen™ Folate Receptor alpha Polyclonal Antibody

Description
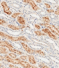
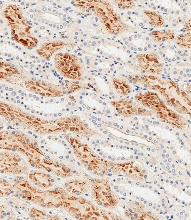
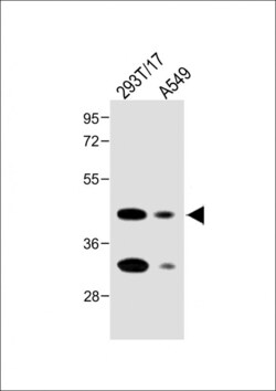
Folate Receptor alpha Polyclonal Antibody for Western Blot, IHC (P), Flow
Specifications
Specifications
| Antigen | Folate Receptor alpha |
| Applications | Flow Cytometry, Immunohistochemistry (Paraffin), Western Blot |
| Classification | Polyclonal |
| Concentration | 0.5 mg/mL |
| Conjugate | Unconjugated |
| Formulation | PBS with 0.09% sodium azide; pH 7.4 |
| Gene | FOLR1 |
| Gene Accession No. | P15328 |
| Gene Alias | 66/67kDa; AA407891; adult folate-binding protein; eIF3 p66; EIF3D; eIF3d {ECO:0000255; eIF3p66; eIF3-p66; EIF3S7; eIF-3-zeta; eIF3-zeta; eIF-3-zeta {ECO:0000255; Eukaryotic translation initiation factor 3 subunit 7; eukaryotic translation initiation factor 3 subunit 7 {ECO:0000255; eukaryotic translation initiation factor 3 subunit D; eukaryotic translation initiation factor 3 subunit D {ECO:0000255; eukaryotic translation initiation factor 3, subunit 7 (zeta); eukaryotic translation initiation factor 3, subunit 7 zeta, 66/67kDa; eukaryotic translation initiation factor 3, subunit D; FBP; Fbp1; folate binding protein; folate binding protein 1; folate receptor 1; folate receptor 1 (adult); folate receptor alpha; Folate receptor, adult; folate-binding protein 1; Folbp1; Folbp-1; FOLR; FOLR1; FR-alpha; HAMAP-Rule:MF_03003}; KB cells FBP; MOv18; Ovarian tumor-associated antigen MOv18; translation initiation factor eIF3 p66; translation initiation factor eIF3 p66 subunit |
| Gene Symbols | FOLR1 |
| Show More |
Safety and Handling
By clicking Submit, you acknowledge that you may be contacted by Fisher Scientific in regards to the feedback you have provided in this form. We will not share your information for any other purposes. All contact information provided shall also be maintained in accordance with our Privacy Policy.