Promotional price valid on web orders only. Your contract pricing may differ. Interested in signing up for a dedicated account number?
Learn More

FOXK1 Rabbit anti-Human, Mouse, Polyclonal, Bethyl Laboratories

Catalog No. 501559549
Encompass_Preferred
Change view
Click to view available options
Quantity:
100 μL
1 product options available for selection
Product selection table with 1 available options. Use arrow keys to navigate and Enter or Space to select.
Catalog No. Quantity
50-155-9549 100 μL
Use arrow keys to navigate between rows. Press Enter or Space to select a product option. 1 options available.
1 options
Catalog No. 50-155-9549 Supplier Bethyl Laboratories, Inc Supplier No. A301728A
Only null left
Add to Cart
Add to Cart

Rabbit Polyclonal Antibody

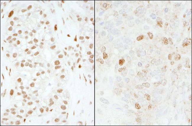
The recommended shelf life for this product is 1 year from date of receipt. Application Note: For IHC, epitope retrieval with citrate buffer pH 6.0 is recommended for FFPE tissue sections.

FOXK1 is expressed in these cells and regulates cell cycle progression through an interaction with its downstream target the cyclin-dependent kinase inhibitor p21 (CIP). Loss of FOXK1 in mice results in growth retardation and a severe impairment in skeletal muscle regeneration following injury. FOXK1 also shows expression in immature tissues of brain, eye, heart, lung and thymus. It also is predomitly expressed in many maligt tissues, such as tumors of the brain, colon and lymph node.

Specifications

Antigen FOXK1
Applications Immunohistochemistry, Immunoprecipitation, Western Blot
Classification Polyclonal
Concentration 0.2 mg/ml
Conjugate Unconjugated
Formulation TBS with 0.1% BSA and 0.09% sodium azide
Gene FOXK1
Gene Accession No. P42128, P85037
Gene Alias FHX, Fork head, Forkhead box protein K1, FOXJ2 forkhead factor, FOXK1, FOXK1, MNF, Myocyte nuclear factor
Gene Symbols FOXK1
Host Species Rabbit
Immunogen Between 683 and 733
Purification Method Antigen affinity chromatography
Quantity 100 μL
Regulatory Status RUO
Primary or Secondary Primary
Gene ID (Entrez) 17425, 221937
Target Species Human, Mouse
Content And Storage 4° C
Product Type Antibody
Form Liquid
Isotype IgG
Show More Show Less
Product Title
Select an issue

By clicking Submit, you acknowledge that you may be contacted by Fisher Scientific in regards to the feedback you have provided in this form. We will not share your information for any other purposes. All contact information provided shall also be maintained in accordance with our Privacy Policy.