Learn More
FOXO3a Rabbit anti-Human, Mouse, Polyclonal, Bethyl Laboratories
Rabbit Polyclonal Antibody
Supplier: Bethyl Laboratories, Inc A300454A

Description
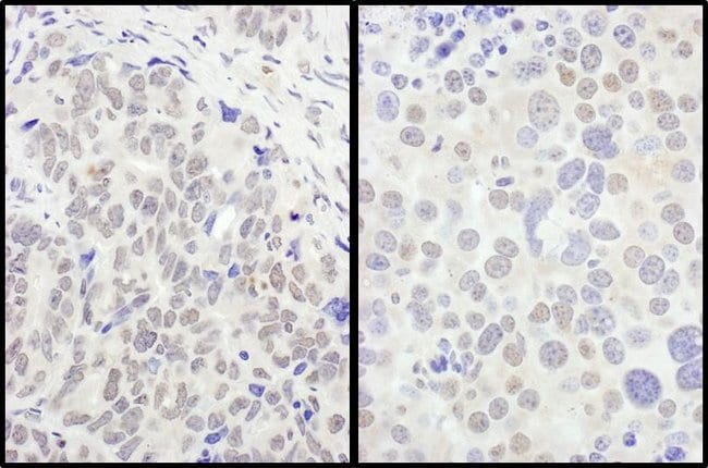
The recommended shelf life for this product is 1 year from date of receipt. Application Note: For IHC, epitope retrieval with Tris-EDTA pH 9.0 is recommended for FFPE tissue sections.
FoxO (forkhead box O) proteins are a family of transcription factors characterized by the distinct forkhead domain. The FoxO proteins act in the insulin signaling pathway, but FoxO3 has also been shown to play a role in the regulation of apoptosis, cell cycle progression and cancer. Several splice variants of FoxO3 have been reported.Specifications
FOXO3a | |
Polyclonal | |
Unconjugated | |
FOXO3 | |
FkhR | |
Rabbit | |
Antigen affinity chromatography | |
RUO | |
2309, 56484 | |
4° C | |
Liquid |
Immunohistochemistry, Immunoprecipitation, Western Blot | |
1 mg/ml | |
phosphate, tris citrate with 0.09% sodium azide; pH 7-8 | |
O43524, Q9WVH4 | |
Foxo3 | |
Between 625 and C-term | |
100 μL | |
Primary | |
Human, Mouse | |
Antibody | |
IgG |
The Fisher Scientific Encompass Program offers items which are not part of our distribution portfolio. These products typically do not have pictures or detailed descriptions. However, we are committed to improving your shopping experience. Please use the form below to provide feedback related to the content on this product.