Promotional price valid on web orders only. Your contract pricing may differ. Interested in signing up for a dedicated account number?
Learn More
Learn More
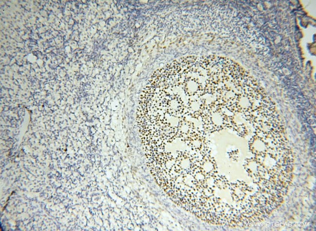
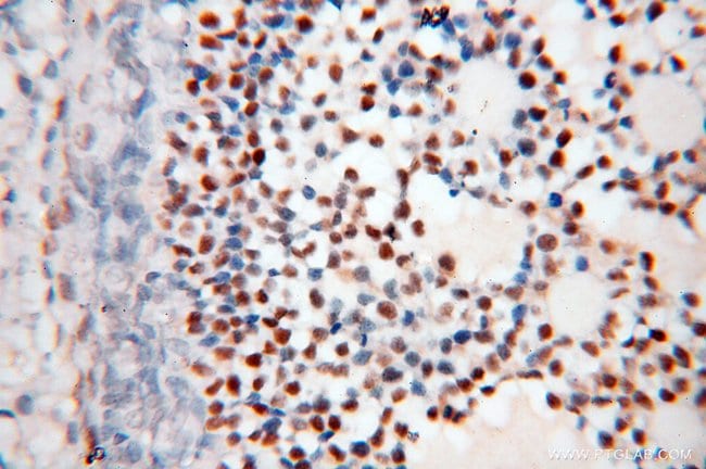
FOXP4 Rabbit anti-Human, Mouse, Rat, Polyclonal, Proteintech

Rabbit Polyclonal Antibody
Supplier: Proteintech Group Inc 167721AP150UL

Description
This gene belongs to subfamily P of the forkhead box (FOX) transcription factor family. Forkhead box transcription factors play important roles in the regulation of tissue- and cell type-specific gene transcription during both development and adulthood. Many members of the forkhead box gene family, including members of subfamily P, have roles in mammalian oncogenesis. This gene may play a role in the development of tumors of the kidney and larynx. Alternative splicing of this gene produces multiple transcript variants, some encoding different isoforms.Specifications
FOXP4 | |
Polyclonal | |
Unconjugated | |
FOXP4 | |
FKHLA, forkhead box P4, Forkhead box protein P4, FOXP4, hFKHLA | |
Rabbit | |
Antigen Affinity Chromatography | |
RUO | |
116113, 363185, 74123 | |
-20°C | |
Liquid |
Immunohistochemistry (Paraffin), Immunoprecipitation, Western Blot | |
0.17 mg/mL | |
PBS with 50% glycerol and 0.02% sodium azide; pH 7.3 | |
Q8IVH2, Q9DBY0 | |
Foxp4 | |
FOXP4 Fusion Protein Ag10047 | |
150 μL | |
Primary | |
Human, Mouse, Rat | |
Antibody | |
IgG |
Product Content Correction
The Fisher Scientific Encompass Program offers items which are not part of our distribution portfolio. These products typically do not have pictures or detailed descriptions. However, we are committed to improving your shopping experience. Please use the form below to provide feedback related to the content on this product.
Product Title
Spot an opportunity for improvement?Share a Content Correction