Promotional price valid on web orders only. Your contract pricing may differ. Interested in signing up for a dedicated account number?
Learn More
Learn More
Invitrogen™ Francisella tularensis subsp. Holarctica FTT0571 Polyclonal Antibody

Rabbit Polyclonal Antibody
Supplier: Invitrogen™ PA5122315
This item is not returnable.
View return policy
Description
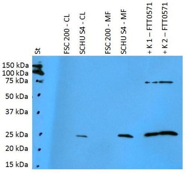
This antibody reacts with Francisella tularensis subsp. tularensis antigen FTT0571 (FTT_0571). The antibody does not react with Francisella tularensis subsp. holarctica homolog.
The Francisella tularensis subsp. tularensis antigen FTT0571 (FTT_0571) is an almost uncharacterized protein structurally similar to metaxin.
Specifications
| Francisella tularensis subsp. Holarctica FTT0571 | |
| Polyclonal | |
| Unconjugated | |
| FTT_0571 | |
| Recombinant FTT0571 protein produced in E. coli. | |
| 100 μg | |
| Primary | |
| 4°C, do not freeze | |
| Liquid |
| ELISA, Western Blot | |
| 1 mg/mL | |
| PBS with 15 mM sodium azide; pH 7.4 | |
| Rabbit | |
| Affinity chromatography | |
| RUO | |
| Bacteria | |
| Antibody | |
| IgG |
Product Content Correction
Your input is important to us. Please complete this form to provide feedback related to the content on this product.
Product Title
Spot an opportunity for improvement?Share a Content Correction