Promotional price valid on web orders only. Your contract pricing may differ. Interested in signing up for a dedicated account number?
Learn More
Learn More
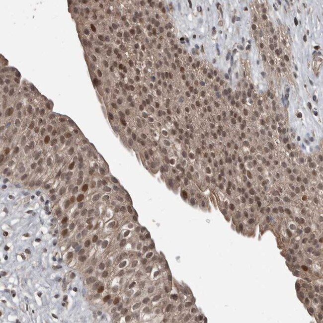
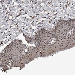
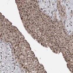
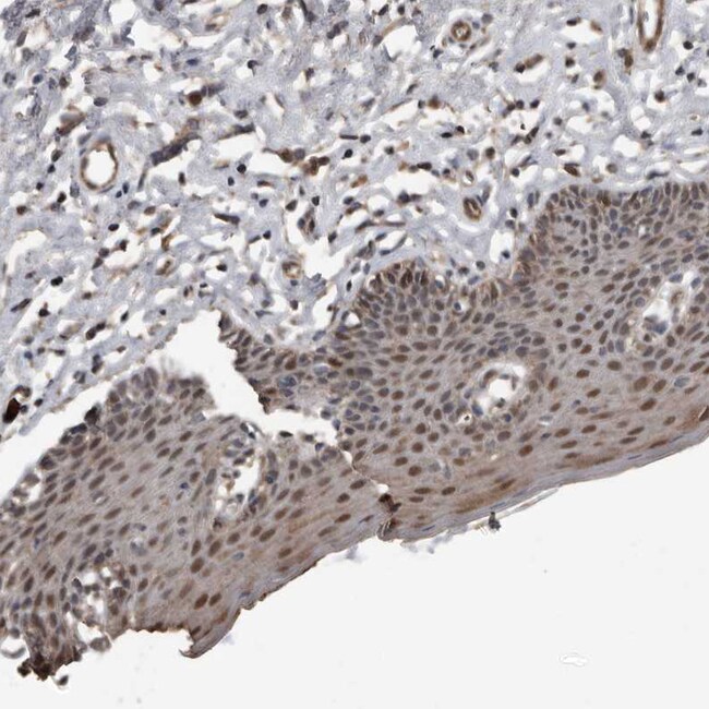
Invitrogen™ FSBP Polyclonal Antibody

Rabbit Polyclonal Antibody
Supplier: Invitrogen™ PA555324
Description
Immunogen sequence: SNISEPTKKV MEMIPQISSF CLVRDRNHIQ SANLDEEAQA GTSSLQVMLD HHPVAITVEV KQEEDIKPPP PLVLNSQQSD TLEQREEHEL VHVMERSLSP Highest antigen sequence identity to the following orthologs: Mouse - 83%, Rat - 81%.
Fibrinogen silencer-binding protein, Function: Transcriptional repressor that down-regulates the expression of the fibrinogen gamma chain. Represses transcription of GSK3B gene promoter via its interaction with APBA1. Subunit structure: Interacts with APBA1 (via PDZ 1 and 2 domains). Subcellular location: Nucleus. Tissue specificity: Expressed in multiple tissues including brain. Miscellaneous: Intragenic, in the second intron of RAB54B gene.
Specifications
| FSBP | |
| Polyclonal | |
| Unconjugated | |
| FSBP | |
| fibrinogen silencer binding protein; fibrinogen silencer-binding protein; fibrinogen silencer-binding protein-like; FSBP; LOC102550523 | |
| Rabbit | |
| Antigen affinity chromatography | |
| RUO | |
| 100861412 | |
| Store at 4°C short term. For long term storage, store at -20°C, avoiding freeze/thaw cycles. | |
| Liquid |
| Immunohistochemistry (Paraffin), Western Blot | |
| 0.1 mg/mL | |
| PBS with 40% glycerol and 0.02% sodium azide; pH 7.2 | |
| O95073 | |
| FSBP | |
| Recombinant protein corresponding to Human FSBP. Recombinant protein control fragment (Product #RP-93950). | |
| 100 μL | |
| Primary | |
| Human | |
| Antibody | |
| IgG |
Safety and Handling
WARNING: Cancer - www.P65Warnings.ca.gov
Product Content Correction
Your input is important to us. Please complete this form to provide feedback related to the content on this product.
Product Title
Spot an opportunity for improvement?Share a Content Correction