Promotional price valid on web orders only. Your contract pricing may differ. Interested in signing up for a dedicated account number?
Learn More
Learn More
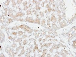
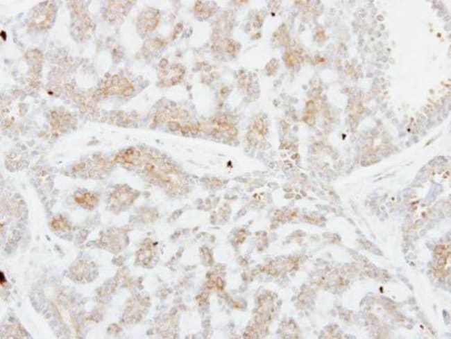
Invitrogen™ FSTL1 Polyclonal Antibody

Rabbit Polyclonal Antibody
Supplier: Invitrogen™ PA528451
Description
Recommended positive controls: HeLa. Predicted reactivity: Rhesus Monkey (100%), Chimpanzee (100%). Store product as a concentrated solution. Centrifuge briefly prior to opening the vial.
Follistatin-like protein 1 (FSTL1) is a widely-expressed, extracellular glycoprotein that is homologously grouped into the osteonectin (BM-40/SPARC) family of secreted proteins based on its possession of both a follistatin-like and extracellular calcium-binding domain. Initially identified as a TGF-beta-inducible protein in a cloned mouse osteoblast cell line, FSTL1 has since been implicated in an array of cell-type-specific functions, such as the regulation of proliferation, differentiation, apoptosis and migration, as well as a number of biological processes, including embryonic development, inflammatory response, angiogenesis, tumorigenesis, and immune disease pathogenesis. Highly conserved across mammalian species and widely expressed in human tissues, FSTL1 can be upregulated through signaling mediators of the innate immune system,such as TLR4 agonists and the arthritogenic cytokine IL-1beta via NFkappaB pathways, to stimulate the expression and secretion of pro-inflammatory cytokines, including TNF-alpha, IL-1beta, IL-6 and IL-8. While cells of mesenchymal lineage are capable of FSTL1 production, FSTL1 expression is notably absent from cells of hematopoietic lineage under normal physiological conditions. Macrophages and monocytes are, however, capable of taking up FSTL1 at sites of inflammation where FSTL1 stimulation can cause the expression of caspase-1 and its resultant enzymatic cleavage of active IL-1beta from pro-IL-1beta. Whereas the overexpression of FSTL1 has been noted as a substantial contributor to the progression of immune diseases like rheumatoid arthritis (RA) and osteoarthritis (OA), diminished FSTL1 serum levels have been identified as playing a significant part in both ovarian and endometrial carcinogenesis, where it directly affects cell proliferation, migration and invasion.
Specifications
| FSTL1 | |
| Polyclonal | |
| Unconjugated | |
| Fstl1 | |
| AI316791; AW107808; FLJ50214; FLJ52277; follistatin like 1; follistatin-like 1; follistatin-like protein 1; Follistatin-related protein 1; FRP; FSL1; Fstl; FSTL1; MIR198; OCC1; OCC-1; TGF-beta-inducible protein TSC-36; tsc36; TSC-36 | |
| Rabbit | |
| Antigen affinity chromatography | |
| RUO | |
| 11167 | |
| Store at 4°C short term. For long term storage, store at -20°C, avoiding freeze/thaw cycles. | |
| Liquid |
| Immunohistochemistry (Paraffin), Western Blot, Immunocytochemistry | |
| 0.76 mg/mL | |
| 0.1M tris glycine with 10% glycerol and 0.01% thimerosal; pH 7 | |
| Q12841 | |
| Fstl1 | |
| Carrier-protein conjugated synthetic peptide encompassing a sequence within the C-terminus region of human FSTL1. The exact sequence is proprietary. | |
| 100 μL | |
| Primary | |
| Human | |
| Antibody | |
| IgG |
Safety and Handling
WARNING: Cancer - www.P65Warnings.ca.gov
Product Content Correction
Your input is important to us. Please complete this form to provide feedback related to the content on this product.
Product Title
Spot an opportunity for improvement?Share a Content Correction