Promotional price valid on web orders only. Your contract pricing may differ. Interested in signing up for a dedicated account number?
Learn More
Learn More
Invitrogen™ FSTL3 Polyclonal Antibody
Rabbit Polyclonal Antibody
Supplier: Invitrogen™ PA5119126
This item is not returnable.
View return policy
Description
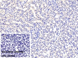
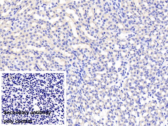
FSTL3 Polyclonal Antibody for Western Blot, ICC/IF, IHC (P)
Follistatin-like 3 (FSTL3) is a gene located on chromosome 19p13.3 and encodes a secreted glycoprotein that belongs to the follistatin-related protein family. FSTL3 functions as an antagonist to members of the transforming growth factor-beta (TGF-β) superfamily, particularly inhibiting activin and myostatin signaling. This inhibitory action is crucial for regulating muscle growth, fertility, and inflammation. FSTL3 is expressed in various tissues, including the placenta, gonads, and skeletal muscle, where it modulates physiological processes by binding to and neutralizing the activities of its target ligands. Dysregulation of FSTL3 has been implicated in conditions such as muscle wasting, metabolic syndrome, and reproductive disorders, reflecting its role in maintaining tissue homeostasis and function. Research into FSTL3 focuses on its potential therapeutic applications in diseases involving TGF-β pathway dysregulation, offering insights into strategies for modulating growth factor activities in clinical settings.
Specifications
FSTL3 | |
Polyclonal | |
Unconjugated | |
FSTL3 | |
E030038F23Rik; FLRG; FLRGFSRP; follistatin like 3; follistatin-like 3; follistatin-like 3 (secreted glycoprotein); follistatin-like protein 3; Follistatin-related gene protein; follistatin-related protein 3; FSRP; FSTL3; UNQ674/PRO1308 | |
Rabbit | |
Antigen affinity chromatography, Protein A | |
RUO | |
83554 | |
Store at 4°C short term. For long term storage, store at -20°C, avoiding freeze/thaw cycles. | |
Liquid |
Immunohistochemistry (Paraffin), Western Blot, Immunocytochemistry | |
0.5 mg/mL | |
PBS with 50% glycerol and 0.05% ProClin 300; pH 7.4 | |
Q9EQC7 | |
FSTL3 | |
Recombinant protein Follistatin Like Protein 3. The antigen corresponds to amino acid range 24-256 of the target protein. | |
200 μL | |
Primary | |
Mouse | |
Antibody | |
IgG |
Product Content Correction
Your input is important to us. Please complete this form to provide feedback related to the content on this product.
Product Title
Spot an opportunity for improvement?Share a Content Correction