Promotional price valid on web orders only. Your contract pricing may differ. Interested in signing up for a dedicated account number?
Learn More
Learn More
Invitrogen™ Fumarase Polyclonal Antibody

Rabbit Polyclonal Antibody
Supplier: Invitrogen™ PA5116455
Description
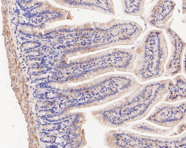
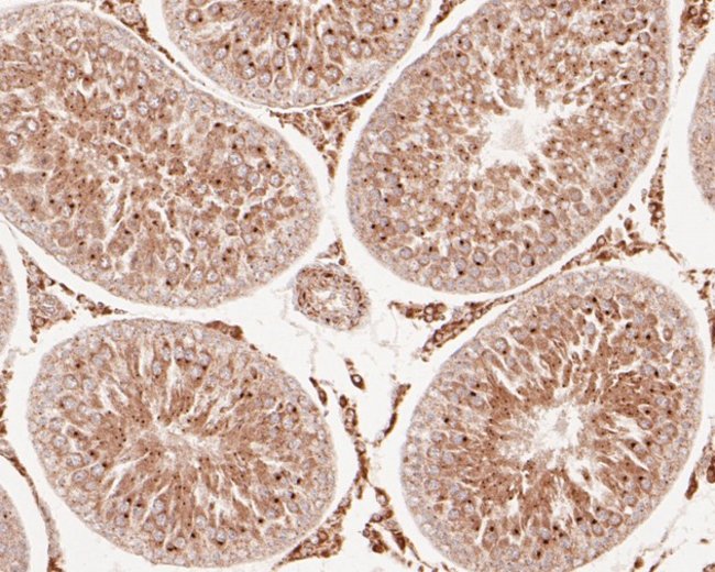
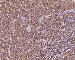
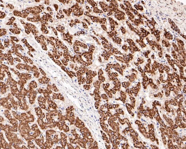
Positive controls: K562 cell lysates, LOVO, SiHa, rat testis tissue, human liver tissue, human liver carcinoma tissue, mouse colon tissue, HCT116.
The protein encoded by this gene is an enzymatic component of the tricarboxylic acid cycle, or Krebs cycle, and catalyzes the formation of L-malate from fumarate. It exists in both a cytosolic form and an N-terminal extended form, differing only in the translation start site used. The N-terminal extended form is targeted to the mitochondrion, where the removal of the extension generates the same form as in the cytoplasm. It is similar to some thermostable class II fumarases and functions as a homotetramer. Mutations in this gene can cause fumarase deficiency and lead to progressive encephalopathy.
Specifications
| Fumarase | |
| Polyclonal | |
| Unconjugated | |
| FH | |
| EF-3; Fh; Fh1; Fh-1; FMRD; fumarase; fumarate hydratase; fumarate hydratase 1; fumarate hydratase, mitochondrial; HLRCC; LRCC; MCL; MCUL1 | |
| Rabbit | |
| Antigen Affinity Chromatography | |
| RUO | |
| 14193, 14194, 2271, 24368 | |
| Store at 4°C short term. For long term storage, store at -20°C, avoiding freeze/thaw cycles. | |
| Liquid |
| Flow Cytometry, Immunohistochemistry (Paraffin), Western Blot, Immunocytochemistry | |
| 1 mg/mL | |
| PBS with 0.2% BSA, 50% glycerol and 0.05% sodium azide; pH 7.4 | |
| P07954, P14408, P97807 | |
| FH, Fh1 | |
| Recombinant protein within Human FH aa 83-267. | |
| 100 μL | |
| Primary | |
| Human, Mouse, Rat | |
| Antibody | |
| IgG |
Safety and Handling
WARNING: Cancer - www.P65Warnings.ca.gov
Product Content Correction
Your input is important to us. Please complete this form to provide feedback related to the content on this product.
Product Title
Spot an opportunity for improvement?Share a Content Correction