Promotional price valid on web orders only. Your contract pricing may differ. Interested in signing up for a dedicated account number?
Learn More
Learn More
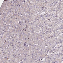
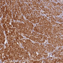
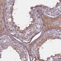
Invitrogen™ FUZ Polyclonal Antibody

Rabbit Polyclonal Antibody
Supplier: Invitrogen™ PA559724
Description
Immunogen sequence: LLRNFYTLVT STHFPPEPGP PEKTEDEVYQ AQLPRACYLV LGTEEPGTGV RLVALQLGLR RLLLLLSPQS PTHGLRSLAT HTLHALTP Highest antigen sequence identity to the following orthologs: Mouse - 78%, Rat - 78%.
FUZ is the human homolog of Drosophila fy protein and belongs to the fuzzy family. The fy gene of Drosophila encodes a novel four-pass transmembrane protein that plays two roles in the development of hairs on the Drosophila wing. The first is to specify the correct orientation of the hair by restricting its initiation to the distal vertex of the cell. The second role is to permit the development of just a single cell hair by maintaining the integrity of the F-actin and microtubule arrays that are required for hair development. In humans, the protein is involved in cytoskeleton function and cell polarity in epithelial cells. The human fuz gene is localized on chromosome 19q13.33.
Specifications
| FUZ | |
| Polyclonal | |
| Unconjugated | |
| FUZ | |
| 2600013E07Rik; b2b1273Clo; Fuz; fuzzy homolog; fuzzy homolog (Drosophila); fuzzy planar cell polarity protein; FY; NTD; Protein fuzzy homolog; RGD1310608 | |
| Rabbit | |
| Antigen affinity chromatography | |
| RUO | |
| 80199 | |
| Store at 4°C short term. For long term storage, store at -20°C, avoiding freeze/thaw cycles. | |
| Liquid |
| Immunohistochemistry (Paraffin), Western Blot, Immunocytochemistry | |
| 0.1 mg/mL | |
| PBS with 40% glycerol and 0.02% sodium azide; pH 7.2 | |
| Q9BT04 | |
| FUZ | |
| Recombinant protein corresponding to Human FUZ. Recombinant protein control fragment (Product #RP-98850). | |
| 100 μL | |
| Primary | |
| Human | |
| Antibody | |
| IgG |
Safety and Handling
WARNING: Cancer - www.P65Warnings.ca.gov
Product Content Correction
Your input is important to us. Please complete this form to provide feedback related to the content on this product.
Product Title
Spot an opportunity for improvement?Share a Content Correction