Promotional price valid on web orders only. Your contract pricing may differ. Interested in signing up for a dedicated account number?
Learn More
Learn More
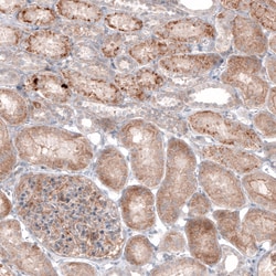
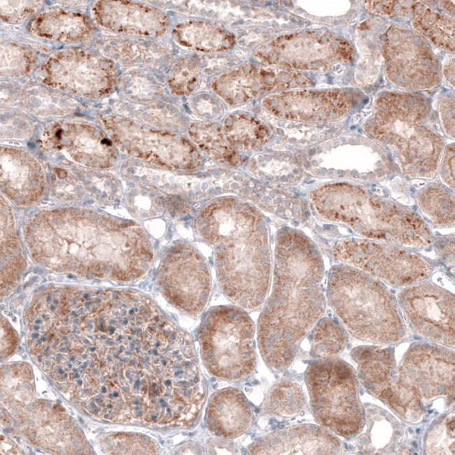
Invitrogen™ G6PC Monoclonal Antibody (CL5817)

Mouse Monoclonal Antibody
Supplier: Invitrogen™ MA531427
Description
Immunogen sequence: DFGIQSTHYL QVNYQDSQD.
Glucose-6-phosphatase is an integral membrane protein of the endoplasmic reticulum that catalyzes the hydrolysis of D-glucose 6-phosphate to D-glucose and orthophosphate. It is a key enzyme in glucose homeostasis, functioning in gluconeogenesis and glycogenolysis. Defects in the enzyme cause glycogen storage disease type I.
Specifications
| G6PC | |
| Monoclonal | |
| 1 mg/mL | |
| PBS with 40% glycerol and 0.02% sodium azide; pH 7.2 | |
| P35575 | |
| G6PC | |
| Synthetic peptide corresponding to Human G6PC. | |
| 100 μL | |
| Primary | |
| Human | |
| Antibody | |
| IgG1 |
| Immunohistochemistry (Paraffin) | |
| CL5817 | |
| Unconjugated | |
| G6PC | |
| AW107337; G6Pase; G-6-Pase; G6Pase-alpha; G6PC; G6PC1; G6PT; Glc-6-Pase; Glc-6-Pase-alpha; glucose-6-phosphatase; Glucose-6-phosphatase alpha; glucose-6-phosphatase catalytic subunit; glucose-6-phosphatase, catalytic; glucose-6-phosphatase, catalytic (glycogen storage disease type I, von Gierke disease); glucose-6-phosphatase, catalytic subunit; GSD1; GSD1a; MGC163350; Unknown (protein for MGC:137220) | |
| Mouse | |
| Protein A | |
| RUO | |
| 2538 | |
| Store at 4°C short term. For long term storage, store at -20°C, avoiding freeze/thaw cycles. | |
| Liquid |
Product Content Correction
Your input is important to us. Please complete this form to provide feedback related to the content on this product.
Product Title
Spot an opportunity for improvement?Share a Content Correction