Promotional price valid on web orders only. Your contract pricing may differ. Interested in signing up for a dedicated account number?
Learn More
Learn More
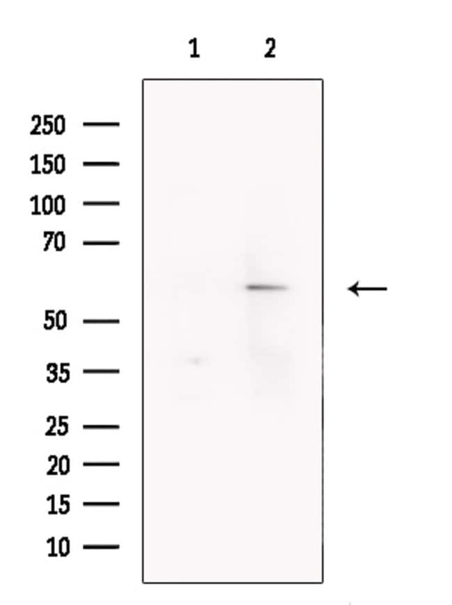
GABRB3 Polyclonal Antibody

GABRB3 Polyclonal Antibody
Supplier: Thermo Scientific PA5115261
Description
GABRB3 Polyclonal Antibody for Western Blot, ICC/IF
Specifications
| GABRB3 | |
| Polyclonal | |
| Unconjugated | |
| GABRB3 | |
| A230092K12Rik; AW049585; beta3; cleft palate 1; Cp1; ECA5; GABA(A) receptor subunit beta-3; GABAA receptor beta-3 subunit; GABA-alpha receptor beta-2 subunit; GABR B3; Gabrb3; Gabrb-3; gamma-aminobutyric acid; gamma-aminobutyric acid (GABA) A receptor, beta 3; gamma-aminobutyric acid (GABA) A receptor, subunit beta 3; gamma-aminobutyric acid (GABA-A) receptor, subunit beta 3; gamma-aminobutyric acid A receptor beta 3; Gamma-aminobutyric acid receptor beta 3; gamma-aminobutyric acid receptor subunit beta-3; gamma-aminobutyric acid receptor, subunit beta 3; gamma-aminobutyric acid type A receptor beta3 subunit; gamma-aminobutyric acid type A receptor subunit beta3; LOW QUALITY PROTEIN: gamma-aminobutyric acid receptor subunit beta-3; MGC9051; testis gamma-aminobutyric acid receptor subunit beta 3 | |
| Rabbit | |
| Affinity Chromatography | |
| RUO | |
| 14402, 24922, 2562 | |
| -20°C | |
| Liquid |
| Western Blot, Immunocytochemistry | |
| 1 mg/mL | |
| PBS with 50% glycerol and 0.02% sodium azide | |
| P28472, P63079, P63080 | |
| GABRB3 | |
| A synthesized peptide derived from human GABRB3(Accession P28472), corresponding to amino acid residues N366-L416. | |
| 100 μL | |
| Primary | |
| Human, Mouse, Rat | |
| Antibody | |
| IgG |
Safety and Handling
WARNING: Cancer - www.P65Warnings.ca.gov
Product Content Correction
Your input is important to us. Please complete this form to provide feedback related to the content on this product.
Product Title
Spot an opportunity for improvement?Share a Content Correction