Promotional price valid on web orders only. Your contract pricing may differ. Interested in signing up for a dedicated account number?
Learn More
Learn More
Invitrogen™ Galectin 7 Polyclonal Antibody, Invitrogen™

Rabbit Polyclonal Antibody
Supplier: Invitrogen™ PA5145343
Description
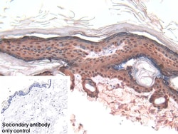
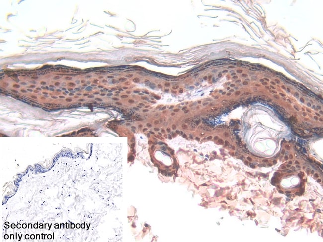
The galectins are a family of beta-galactoside-binding proteins implicated in modulating cell-cell and cell-matrix interactions. Differential and in situ hybridization studies indicate that this lectin is specifically expressed in keratinocytes and found mainly in stratified squamous epithelium. A duplicate copy of this gene (GeneID:653499) is found adjacent to, but on the opposite strand on chromosome 19.
Specifications
Galectin 7 | |
Polyclonal | |
Unconjugated | |
LGALS7 | |
GAL7; Gal-7; galectin 7; galectin 7B; galectin-7; galectin-7B; HKL-14; keratinocyte lectin 14; lectin galactoside-binding soluble 7; lectin, galactose binding, soluble 7; lectin, galactoside binding soluble 7; lectin, galactoside binding soluble 7B; lectin, galactoside-binding, soluble, 7; lectin, galactoside-binding, soluble, 7B; LGALS7; LGALS7A; LGALS7B; p53-induced gene 1 protein; p53-induced protein 1; PI7; Pig1 | |
Rabbit | |
Antigen affinity chromatography, Protein A | |
RUO | |
16858, 29518 | |
Store at 4°C short term. For long term storage, store at -20°C, avoiding freeze/thaw cycles. | |
Liquid |
Immunohistochemistry (Paraffin), Western Blot | |
0.5 mg/mL | |
PBS with 50% glycerol and 0.05% Proclin 300; pH 7.4 | |
O54974, P97590 | |
LGALS7 | |
Recombinant Rat GAL7 protein, Met1-Val128 (Accession #P97590). | |
200 μL | |
Primary | |
Mouse, Rat | |
Antibody | |
IgG |
Product Content Correction
Your input is important to us. Please complete this form to provide feedback related to the content on this product.
Product Title
Spot an opportunity for improvement?Share a Content Correction