Promotional price valid on web orders only. Your contract pricing may differ. Interested in signing up for a dedicated account number?
Learn More
Learn More
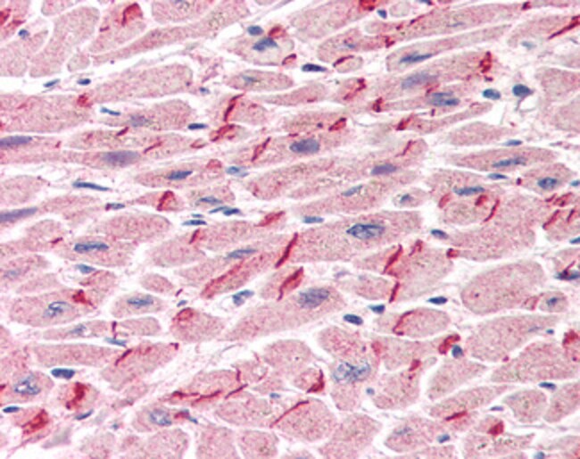
Invitrogen™ gamma Catenin Polyclonal Antibody

Goat Polyclonal Antibody
Supplier: Invitrogen™ PA518064
Description
This antibody is predicted to react with canine, mouse and porcine based on sequence homology. This antibody is tested in Peptide ELISA: antibody detection limit dilution 32,000.
JUP is a major cytoplasmic protein which is the only known constituent common to sub membranous plaques of both desmosomes and intermediate junctions. This protein forms distinct complexes with cadherins and desmosomal cadherins and is a member of the catenin family since it contains a distinct repeating amino acid motif called the armadillo repeat.
Specifications
| gamma Catenin | |
| Polyclonal | |
| Unconjugated | |
| JUP | |
| ARVD12; catenin (cadherin-associated protein), gamma 80kDa; Catenin gamma; cb80; cell-adhesion protein plakoglobin; Ctnng; D930025P04Rik; danPG; Desmoplakin III; desmoplakin-3; desmosomal protein; DP3; DPIII; fb11b06; gama-catenin; gamma-catenin; gamma-catenin (plakoglobin); junction plakoglobin; junction plakoglobin a; Jup; jup protein; jupa; OTTHUMP00000164735; PDGB; PG; PKGB; plakoglobin; wu:fb11b06 | |
| Goat | |
| Ammonium Sulfate Precipitation | |
| RUO | |
| 16480, 3728, 81679 | |
| -20°C, Avoid Freeze/Thaw Cycles | |
| Liquid |
| Immunohistochemistry (Paraffin), Western Blot | |
| 0.5 mg/mL | |
| TBS with 0.5% BSA and 0.02% sodium azide; pH 7.3 | |
| P14923, Q02257, Q6P0K8 | |
| JUP | |
| Synthetic peptide sequence (GLRPPYPTADHMLA) corresponding to the C-terminus amino acids of JUP (aa 732-745). | |
| 100 μg | |
| Primary | |
| Human, Mouse, Rat | |
| Antibody | |
| IgG |
Safety and Handling
WARNING: Cancer - www.P65Warnings.ca.gov
Product Content Correction
Your input is important to us. Please complete this form to provide feedback related to the content on this product.
Product Title
Spot an opportunity for improvement?Share a Content Correction