Learn More
Invitrogen™ gamma Synuclein Monoclonal Antibody (1H10D2)

Description
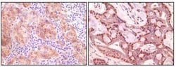
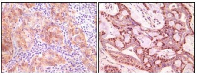
MA5-15296 targets SNCG (breast cancer-specific protein 1) in indirect ELISA, IHC and WB applications and shows reactivity with Human samples. The MA5-15296 immunogen is purified recombinant fragment of SNCG expressed in E. Coli.
Specifications
Specifications
| Antigen | gamma Synuclein |
| Applications | ELISA, Immunohistochemistry (Paraffin), Western Blot |
| Classification | Monoclonal |
| Clone | 1H10D2 |
| Concentration | Conc. Not Determined |
| Conjugate | Unconjugated |
| Formulation | ascites with 0.03% sodium azide |
| Gene | SNCG |
| Gene Accession No. | O76070 |
| Gene Alias | BCSG1; Breast cancer-specific gene 1 protein; C79089; Gamma-synuclein; persyn; PRSN; Sensory neuron synuclein; SNCG; SR; Synoretin; synuclein gamma; synuclein, gamma; synuclein, gamma (breast cancer-specific protein 1) |
| Show More |
By clicking Submit, you acknowledge that you may be contacted by Fisher Scientific in regards to the feedback you have provided in this form. We will not share your information for any other purposes. All contact information provided shall also be maintained in accordance with our Privacy Policy.