Promotional price valid on web orders only. Your contract pricing may differ. Interested in signing up for a dedicated account number?
Learn More

GAPDH Rabbit anti-Human, Unconjugated, Clone: BG-7, Abnova™

Rabbit Monoclonal Antibody.

Supplier:  Abnova Corporation MAB20071

Catalog No. 89-336-471


Only null left
Add to Cart

Description

Description

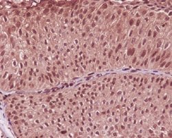
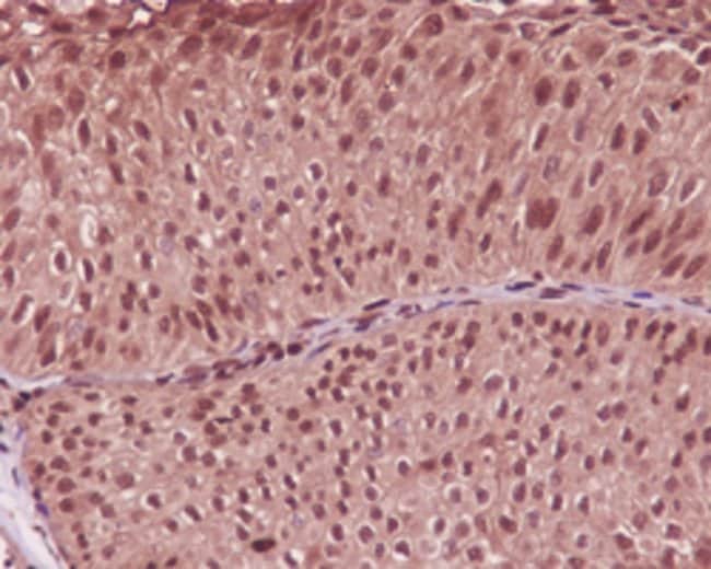
GAPDH Monoclonal antibody specifically detects GAPDH in Human samples. It is validated for ICC, WB-Ce, IHC-P, IF, Flow Cyt.
Specifications

Specifications

GAPDH
Monoclonal
Unconjugated
GAPDH
Rabbit
100 μg
2597
Store at -20°C for one year. After reconstitution, at 4°C for one month. It can also be aliquotted and stored frozen at -20°C for a longer time. Avoid repeated freezing and thawing.
IgG
Immunocytochemistry, Western Blot, Immunohistochemistry (Paraffin), Immunofluorescence, Flow Cytometry
BG-7
glyceraldehyde-3-phosphate dehydrogenase
G3PD, GAPD, MGC88685
A synthetic peptide corresponding to human GAPDH
Primary
Human
Liquid
Product Suggestions

Product Suggestions

Videos
SDS
Documents

Documents

Product Certifications
Promotions

Promotions

Product Content Correction

Your input is important to us. Please complete this form to provide feedback related to the content on this product.

Product Title

By clicking Submit, you acknowledge that you may be contacted by Fisher Scientific in regards to the feedback you have provided in this form. We will not share your information for any other purposes. All contact information provided shall also be maintained in accordance with our Privacy Policy.

Your feedback has been submitted: Thank you for helping us improve our website.