Promotional price valid on web orders only. Your contract pricing may differ. Interested in signing up for a dedicated account number?
Learn More
Learn More
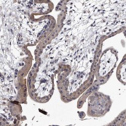
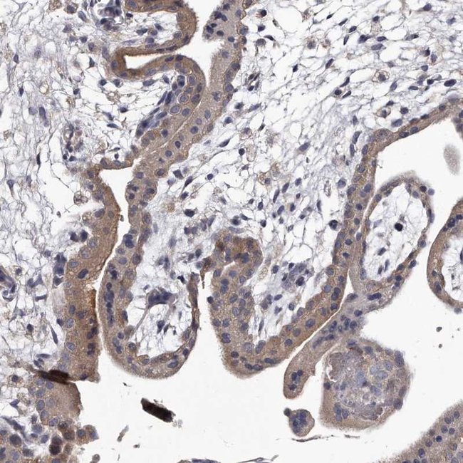
Invitrogen™ GAPVD1 Polyclonal Antibody

Rabbit Polyclonal Antibody
Supplier: Invitrogen™ PA556124
Description
Immunogen sequence: AMTGSEEGDP RTKSSLGKFD KSCVAAFLDV VIGGRAVETP PLSSVNLLEG LSRTVVYITY SQLITLVNFM KSVMSGDQLR EDRMALDNLL ANLP Highest antigen sequence identity to the following orthologs: Mouse - 94%, Rat - 94%.
GAPVD1 acts both as a GTPase-activating protein (GAP) and a guanine nucleotide exchange factor (GEF), and participates in various processes such as endocytosis, insulin receptor internalization or LC2A4/GLUT4 trafficking. It acts as a GEF for the Ras-related protein RAB31 by exchanging bound GDP for free GTP, leading to regulate LC2A4/GLUT4 trafficking. In the absence of insulin, it maintains RAB31 in an active state and promotes a futile cycle between LC2A4/GLUT4 storage vesicles and early endosomes, retaining LC2A4/GLUT4 inside the cells. Upon insulin stimulation, it is translocated to the plasma membrane, releasing LC2A4/GLUT4 from intracellular storage vesicles. It is also involved in EGFR trafficking and degradation, possibly by promoting EGFR ubiquitination and subsequent degradation by the proteasome. It has GEF activity for Rab5 and GAP activity for Ras.
Specifications
| GAPVD1 | |
| Polyclonal | |
| Unconjugated | |
| Gapvd1 | |
| 2010005B09Rik; 4432404J10Rik; AW108497; DKFZP434C212; GAPEX5; GAPex-5; GAPVD1; GTPase activating protein and VPS9 domains 1; GTPase-activating protein and VPS9 domain-containing protein 1; hypothetical protein LOC436693; Kiaa1521; MGC138847; MGC138848; mKIAA1521; rab5-activating protein 6; RAP6; RGD1307479; RME-6; zgc:92666 | |
| Rabbit | |
| Antigen affinity chromatography | |
| RUO | |
| 26130 | |
| Store at 4°C short term. For long term storage, store at -20°C, avoiding freeze/thaw cycles. | |
| Liquid |
| Immunohistochemistry (Paraffin), Immunocytochemistry | |
| 0.1 mg/mL | |
| PBS with 40% glycerol and 0.02% sodium azide; pH 7.2 | |
| Q14C86 | |
| Gapvd1 | |
| Recombinant protein corresponding to Human GAPVD1. Recombinant protein control fragment (Product #RP-93044). | |
| 100 μL | |
| Primary | |
| Human | |
| Antibody | |
| IgG |
Product Content Correction
Your input is important to us. Please complete this form to provide feedback related to the content on this product.
Product Title
Spot an opportunity for improvement?Share a Content Correction