Promotional price valid on web orders only. Your contract pricing may differ. Interested in signing up for a dedicated account number?
Learn More
Learn More
Invitrogen™ GAS2 Polyclonal Antibody

Rabbit Polyclonal Antibody
Supplier: Invitrogen™ PA5116534
Description
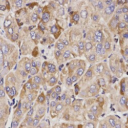
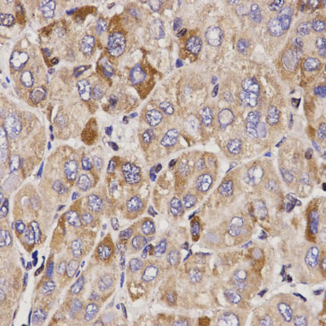
Positive Samples: SW620, Mouse liver, Mouse kidney Immunogen sequence: MCTALSPKVR SGPGLSDMHQ YSQWLASRHE ANLLPMKEDL ALWLTNLLGK EITAETFMEK LDNGALLCQL AETMQEKFKE SMDANKPTKN LPLKKIPCKT.
Gas2 is a 313 amino acid protein encoded by the human gene GAS2. Gas2 is thought to play a role in apoptosis by acting as a cell death substrate for caspases. Gas2, a component of the microfilament system, is cleaved by a caspase (caspase-3 and caspase-7) at Asparagine 278 during apoptosis. The cleaved form resulting from this dramatically induces the rearrangement of the Actin cytoskeleton and causes potent changes in the shape of the affected cells. Gas2 is believed to also be involved in the membrane ruffling process. During the G0-G1 transition phase Gas2 can be found phosphorylated on its serine residues. Gas2 is a cytoskeleton and peripheral membrane protein that co-localizes with Actin fibers at the cell border and along the stress fibers in growth-arrested fibroblasts. Gas2 is mainly membrane-associated but when hyperphosphorylated it will accumulate at membrane ruffles. Gas2 is specifically expressed at growth arrest and is ubiquitously expressed with highest levels found in liver, lung and kidney.
Specifications
| GAS2 | |
| Polyclonal | |
| Unconjugated | |
| GAS2 | |
| GAS 2; Gas2; Gas-2; growth arrest specific 2; growth arrest-specific 2; growth arrest-specific protein 2; RGD1563167 | |
| Rabbit | |
| Affinity Chromatography | |
| RUO | |
| 14453, 2620 | |
| -20°C, Avoid Freeze/Thaw Cycles | |
| Liquid |
| ELISA, Immunohistochemistry (Paraffin), Western Blot | |
| 0.53 mg/mL | |
| PBS with 50% glycerol and 0.02% sodium azide; pH 7.3 | |
| O43903, P11862 | |
| GAS2 | |
| Recombinant fusion protein containing a sequence corresponding to amino acids 1-100 of human GAS2 (NP_0052471). | |
| 100 μL | |
| Primary | |
| Human, Mouse | |
| Antibody | |
| IgG |
Product Content Correction
Your input is important to us. Please complete this form to provide feedback related to the content on this product.
Product Title
Spot an opportunity for improvement?Share a Content Correction