Learn More
Invitrogen™ GAS6 Polyclonal Antibody

Rabbit Polyclonal Antibody
Supplier: Invitrogen™ PA5121208
Description
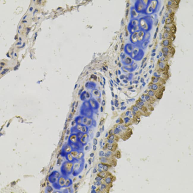
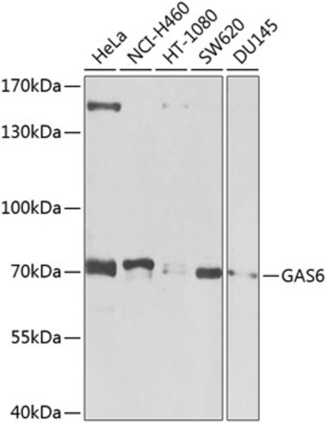
Positive test controls include: HeLa, NCI-H460, HT-1080, SW620, DU145. The target is usually found in the following locations: Secreted. Immunogen sequence: GSPYTKNSGF ATCVQNLPDQ CTPNPCDRKG TQACQDLMGN FFCLCKAGWG GRLCDKDVNE CSQENGGCLQ ICHNKPGSFH CSCHSGFELS SDGRTCQDID ECADSEACGE ARCKNLPGSY SCLCDEGFAY SSQEKACRDV DECLQGRCEQ VCVNSPGSYT CHCDGRGGLK LSQDMDTCED ILPCVPFSVA KSVKSLYLGR M.
This gene product is a gamma-carboxyglutamic acid (Gla)-containing protein thought to be involved in the stimulation of cell proliferation, and may play a role in thrombosis. Alternatively spliced transcript variants encoding different isoforms have been found for this gene.
Specifications
GAS6 | |
Polyclonal | |
Unconjugated | |
GAS6 | |
AXL receptor tyrosine kinase ligand; AXL stimulatory factor; AXLLG; AXSF; GAS 6; GAS6; GAS-6; GPF; growth arrest specific 6; growth arrest-specific 6; growth arrest-specific protein 6; growth-potentiating factor | |
Rabbit | |
Affinity Chromatography | |
RUO | |
14456, 2621 | |
-20°C, Avoid Freeze/Thaw Cycles | |
Liquid |
ELISA, Immunohistochemistry (Paraffin), Western Blot | |
3.69 mg/mL | |
PBS with 50% glycerol and 0.02% sodium azide; pH 7.3 | |
Q14393, Q61592 | |
GAS6 | |
Recombinant protein (or fragment). | |
100 μL | |
Primary | |
Human, Mouse | |
Antibody | |
IgG |
Your input is important to us. Please complete this form to provide feedback related to the content on this product.