Learn More
Invitrogen™ GAS6 Polyclonal Antibody

Description
Immunogen sequence: STWEVEVVAH IRPAADTGVL FALWAPDLRA VPLSVALVDY HSTKKLKKQL VVLAVEHTAL ALMEIKVCDG QEHVVTVSLR DGEATLEVDG TRGQSEVSAA QLQERLAVLE RHLRSPVLTF AGGLPDVPVT S Highest antigen sequence identity to the following orthologs: Mouse - 76%, Rat - 79%.
Specifications
Specifications
| Antigen | GAS6 |
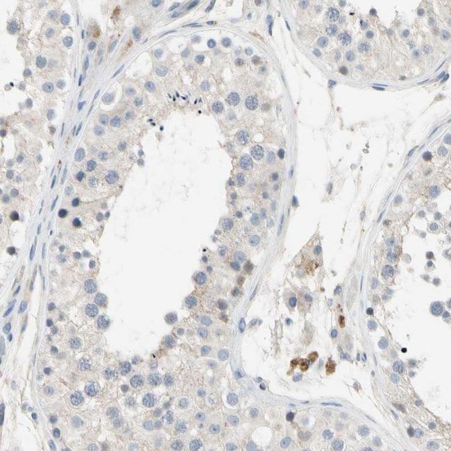
| Applications | Immunohistochemistry (Paraffin) |
| Classification | Polyclonal |
| Concentration | 0.4 mg/mL |
| Conjugate | Unconjugated |
| Formulation | PBS with 40% glycerol and 0.02% sodium azide; pH 7.2 |
| Gene | GAS6 |
| Gene Accession No. | Q14393 |
| Gene Alias | AXL receptor tyrosine kinase ligand; AXL stimulatory factor; AXLLG; AXSF; GAS 6; GAS6; GAS-6; GPF; growth arrest specific 6; growth arrest-specific 6; growth arrest-specific protein 6; growth-potentiating factor |
| Gene Symbols | GAS6 |
| Show More |
By clicking Submit, you acknowledge that you may be contacted by Fisher Scientific in regards to the feedback you have provided in this form. We will not share your information for any other purposes. All contact information provided shall also be maintained in accordance with our Privacy Policy.