Learn More
Description
Specifications
Specifications
| Antigen | GAS7 |
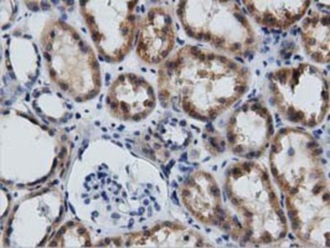
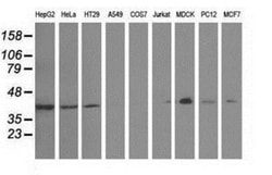
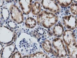
| Applications | Western Blot, Flow Cytometry, Immunohistochemistry, Immunocytochemistry, Immunofluorescence, Immunohistochemistry (Paraffin) |
| Classification | Monoclonal |
| Clone | OTI2F6 |
| Concentration | 0.85 mg/mL |
| Conjugate | Unconjugated |
| Dilution | Western Blot 1:500-2000, Flow Cytometry 1:100, Immunohistochemistry 1:10-1:500, Immunocytochemistry/Immunofluorescence 1:100, Immunohistochemistry-Paraffin 1:150 |
| Gene Alias | GAS-7, growth arrest-specific 7, KIAA0394growth arrest-specific protein 7, MGC1348, MLL/GAS7, MLL/GAS7 fusion protein |
| Gene Symbols | GAS7 |
| Host Species | Mouse |
| Show More |
For Research Use Only
By clicking Submit, you acknowledge that you may be contacted by Fisher Scientific in regards to the feedback you have provided in this form. We will not share your information for any other purposes. All contact information provided shall also be maintained in accordance with our Privacy Policy.
