Promotional price valid on web orders only. Your contract pricing may differ. Interested in signing up for a dedicated account number?
Learn More
Learn More
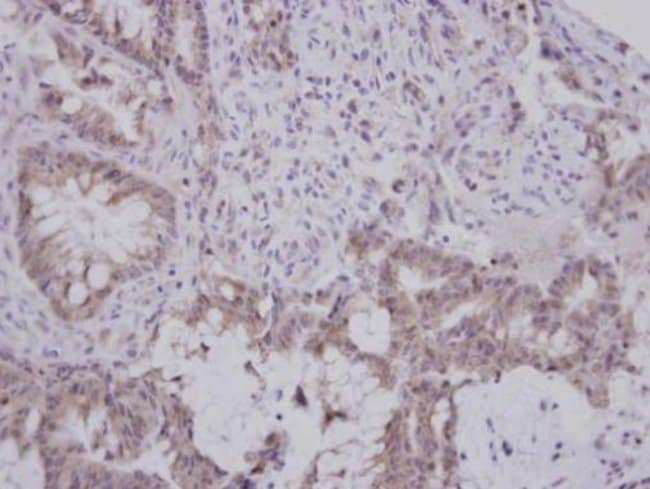
Invitrogen™ GBA3 Polyclonal Antibody

Rabbit Polyclonal Antibody
Supplier: Invitrogen™ PA530782
Description
Recommended positive controls: 293T, A431, Jurkat. Store product as a concentrated solution. Centrifuge briefly prior to opening the vial.
GBA3, or cytosolic beta-glucosidase (EC 3.2.1.21), is a predominantly liver enzyme that efficiently hydrolyzes beta-D-glucoside and beta-D-galactoside, but not any known physiologic beta-glycoside, suggesting that it may be involved in detoxification of plant glycosides. GBA3 also has significant neutral glycosylceramidase activity (EC 3.2.1.62), suggesting that it may be involved in a nonlysosomal catabolic pathway of glucosylceramide metabolism.
Specifications
GBA3 | |
Polyclonal | |
Unconjugated | |
GBA3 | |
CBG; CBGL1; Cytosolic beta-glucosidase; cytosolic beta-glucosidase-like protein 1; Cytosolic GCase; Cytosolic glycosylceramidase; Gba3; GLUC; Glucosidase beta acid 3; glucosidase, beta, acid 3; glucosidase, beta, acid 3 (cytosolic); Glucosylceramidase beta 3; glucosylceramidase beta 3 (gene/pseudogene); klotho-related protein; KLRP | |
Rabbit | |
Antigen affinity chromatography | |
RUO | |
57733 | |
Store at 4°C short term. For long term storage, store at -20°C, avoiding freeze/thaw cycles. | |
Liquid |
Immunohistochemistry (Paraffin), Western Blot | |
0.55 mg/mL | |
0.1M tris glycine with 20% glycerol and 0.01% thimerosal; pH 7 | |
Q9H227 | |
GBA3 | |
Recombinant protein encompassing a sequence within the center region of human GBA3. The exact sequence is proprietary. | |
100 μL | |
Primary | |
Human | |
Antibody | |
IgG |
Product Content Correction
Your input is important to us. Please complete this form to provide feedback related to the content on this product.
Product Title
Spot an opportunity for improvement?Share a Content Correction