Promotional price valid on web orders only. Your contract pricing may differ. Interested in signing up for a dedicated account number?
Learn More
Learn More
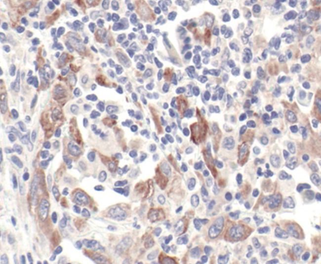
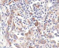
Invitrogen™ GBL Polyclonal Antibody

Rabbit Polyclonal Antibody
Supplier: Invitrogen™ PA517442
Description
It is not recommended to aliquot this antibody.
G-protein beta subunit like (GBL protein) is a novel member of WD-40 protein family. It is a highly conserved cytosolic protein consisting of seven WD-40 repeating motifs. LST8 is a functional component of mTOR signaling complex (TORC1) and positively up-regulates the mTOR pathway. It interacts with the kinase domain of mTOR and stabilizes its interaction with raptor. LST8 participates in regulating cell growth and also in nutrient and growth factor-mediated mTOR signaling to S6K1. Reports suggest up-regulated expression of LST8 due to insulin indicating a possible role of LST8 in intracellular events related to insulin-receptor activation including insulin-stimulated glucose transport and glycogen synthesis. Northern Blot analysis detected a ubiquitous expression of LST8 with highest expression in brain and testis.
Specifications
| GBL | |
| Polyclonal | |
| 0.01M HEPES with 100μg/mL BSA, 50% glycerol, 0.15M NaCl and no preservative; pH 7.5 | |
| Q9BVC4 | |
| MLST8 | |
| Synthetic peptide corresponding to residues surrounding Gln164 of human GβL. | |
| 100 μL | |
| Primary | |
| Human, Monkey | |
| Antibody | |
| IgG |
| Immunohistochemistry (Paraffin), Immunoprecipitation, Western Blot | |
| Unconjugated | |
| MLST8 | |
| 0610033N12Rik; AA409454; AI505104; AI851821; G beta-like protein; G protein beta subunit-like; Gable; GbetaL; GBL; GBL protein; Lst8; Mammalian lethal with SEC13 protein 8; mLST8; mLST8 / mLST8; MTOR associated protein, LST8 homolog; MTOR associated protein, LST8 homolog (S. cerevisiae); POP3; protein GbetaL; Target of rapamycin complex subunit LST8; TORC subunit gable; TORC subunit LST8; TORC subunit WAT1; transducin (beta)-like 4; WAT1 | |
| Rabbit | |
| Antigen affinity chromatography | |
| RUO | |
| 64223 | |
| -20°C | |
| Liquid |
Product Content Correction
Your input is important to us. Please complete this form to provide feedback related to the content on this product.
Product Title
Spot an opportunity for improvement?Share a Content Correction