Promotional price valid on web orders only. Your contract pricing may differ. Interested in signing up for a dedicated account number?
Learn More
Learn More
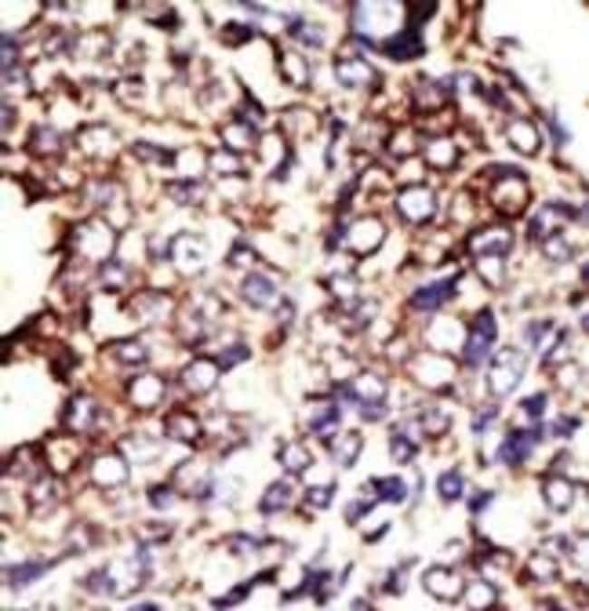
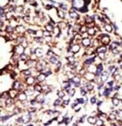
Invitrogen™ GCNT1 Polyclonal Antibody

Rabbit Polyclonal Antibody
Supplier: Invitrogen™ PA512145
Description
GCNT1 Polyclonal Antibody for Western Blot, IHC (P)
Glycosylation is one of the most universal but at the same time complex protein modifications. Modification with sugar moeties can be both co- translational and post- translational, occurring in the endoplasmatic reticulum and golgi. Three different forms of glycosylation can be distinguished: N-linked oligosaccharides, O-linked oligosaccharides and glycosyl- phosphatidylinositol (GPI-) anchors. Glycosylation results in thousands of distinct, bioactive glycoproteins resident throughout the cell that strongly determine protein-protein, carbohydrate-protein, membrane, and adhesion properties. Diseases associated with glycosylation defects include Congenital disorders of glycosylation, (CDG), also known as carbohydrate deficient glycoprotein syndromes, and diseases associated with advanced aging.
Specifications
GCNT1 | |
Polyclonal | |
Unconjugated | |
GCNT1 | |
5630400D21Rik; B130048E03; beta-1,3-galactosyl-O-glycosyl-glycoprotein beta-1,6-N-acetylglucosaminyltransferase; beta-1,3-galactosyl-O-glycosyl-glycoprotein beta-1,6-N--acetylglucosaminyltransferase; beta-1,3-galactosyl-O-glycosyl-glycoprotein beta-1,6-N-acetylglucosaminyltransferase (Core 2 branching enzyme) (Core2-GlcNAc-transferase) (C2GNT); beta1,6 N-acetylglucosaminyltransferase; beta-1,6-N-acetylglucosaminyltransferase; C2 GlcNAcT; C2GNT; C2GNT1; C2GNT-L; core 2 beta1,6 N-acetylglucosaminyltransferase-I; core 2 beta-1,6-N-acetylglucosaminyltransferase I; core 2 branching enzyme; core 2 GlcNAc-T; core 2 GnT; core 2-branching enzyme; Core2-GlcNAc-transferase; enzymatic glycosylation-regulating; G6NT; Gcnt1; glucosaminyl (N-acetyl) transferase 1, core 2; glucosaminyl (N-acetyl) transferase 1, core 2 (beta-1,6-N-acetylglucosaminyltransferase); glucosaminyl transferase 1, core 2; IGnT; NACGT2; NAGCT2 | |
Rabbit | |
Ammonium Sulfate Precipitation, Size-exclusion - Dialysis | |
RUO | |
14537, 2650 | |
Store at 4°C short term. For long term storage, store at -20°C, avoiding freeze/thaw cycles. | |
Liquid |
Immunohistochemistry (Paraffin), Western Blot | |
2.0 mg/mL | |
PBS with 0.09% sodium azide; pH 7.4 | |
Q02742, Q09324 | |
GCNT1 | |
KLH conjugated synthetic peptide between 88-117 amino acids from the central region of human GCNT1. | |
400 μL | |
Primary | |
Human, Mouse | |
Antibody | |
IgG |
Safety and Handling
WARNING: Cancer - www.P65Warnings.ca.gov
Product Content Correction
Your input is important to us. Please complete this form to provide feedback related to the content on this product.
Product Title
Spot an opportunity for improvement?Share a Content Correction